В России к 2027 году создадут ИИ-систему для управления биопечатью тканей

В России к 2027 году создадут ИИ-систему для управления биопечатью тканей

 
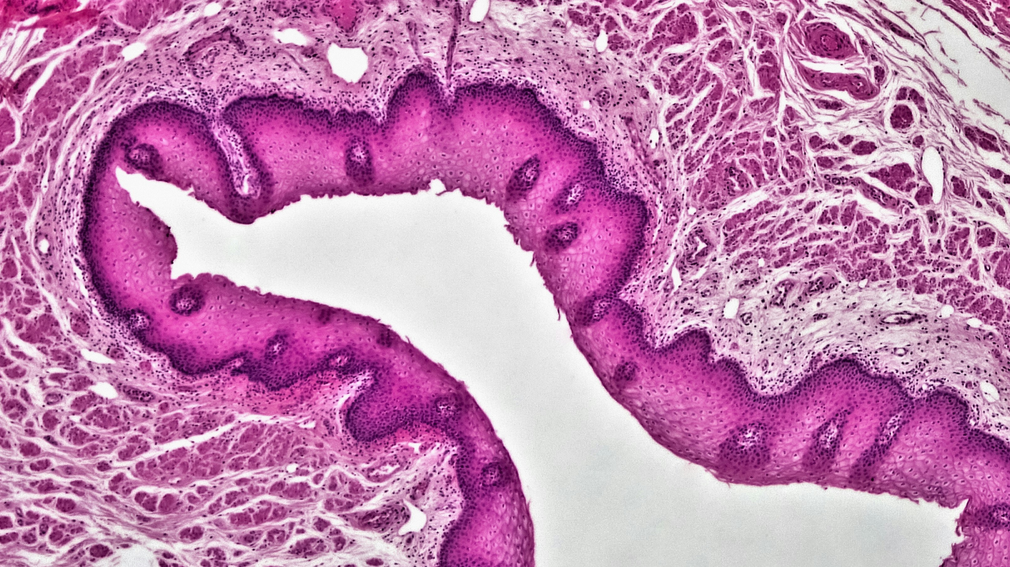
Российские учёные планируют создать к 2027 году технологию, которая с помощью искусственного интеллекта (ИИ) будет автоматически регулировать процесс формирования биотканей. Разработкой занимается команда Сеченовского университета в рамках российско-китайского гранта.

Система будет использовать алгоритмы машинного обучения и специальные биочернила на основе нановолокон. Такой подход позволит создавать конструкции, максимально близкие по структуре и механическим свойствам к живым тканям. В рамках проекта также будет разработан новый биопринтер для трёхмерной печати тканей и органов.

Сеченовский университет займётся доработкой принтера, а специ.
  Опубликовано 05:11, декабря 19, 2025 в: «Наука и Техника»; Источник: www.ferra.ru; Поделиться: Поделиться новостью в Facebook Поделиться новостью в Twittere Поделиться новостью в VK Поделиться новостью в Pinterest Поделиться новостью в Reddit  
Быстрый и дешевый интернет: костяк российского аналога Starlink создадут в 2027 году

«Быстрый и дешевый интернет»: костяк российского аналога Starlink создадут в 2027 году

Министр цифрового развития России Максут Шадаев на пленарном заседании международного технологического конгресса рассказал подробности об отечественн …

15:11, сентября 17, 2024 | ixbt.com
В России создадут ИИ-платформу для цифрового управления в регионах

В России создадут ИИ-платформу для цифрового управления в регионах

В аппарате вице-премьера — руководителя аппарата правительства РФ Дмитрия Григоренко сообщили, что России началась разработка цифровой платформы, кот …

00:11, апреля 5, 2025 | ferra.ru
В России создадут ИТ-систему для управления переработкой семян и элеваторами

В России создадут ИТ-систему для управления переработкой семян и элеваторами

Проект создания системы управления элеватором, маслоэкстракционным заводом и жировым комбинатом, реализуемый холдингом «Русагро», получил грантовую п …

20:11, августа 9, 2024 | zoom.cnews.ru
Путин запретил закупать военную форму из иностранных тканей с 2027 года

Путин запретил закупать военную форму из иностранных тканей с 2027 года

Закупка военной формы иностранного производства для нужд российской армии будет запрещена с 2026 года, а с 2027-го также будет запрещено приобретение …

15:11, августа 12, 2025 | kommersant.ru
В России в 2027 году два раза проиндексируют пенсии

В России в 2027 году два раза проиндексируют пенсии

В Госдуму поступил проект федерального бюджета на 2026 и плановый период 2027 и 2028 года. В документе указано, что индексация пенсий в 2027 году про …

00:11, октября 5, 2025 | secretmag.ru
В России к 2030 году создадут промышленную сеть передачи данных

В России к 2030 году создадут промышленную сеть передачи данных

Структуры «Росатома» занялись разработкой доверенной промышленной сети (ДПС), которая будет поддерживать отечественные интерфейсы и протоколы. Новая …

05:11, ноября 2, 2024 | zoom.cnews.ru
В России появится новая вакцина от туберкулёза уже в 2027 году

В России появится новая вакцина от туберкулёза уже в 2027 году

Российские учёные готовятся завершить клинические испытания новой вакцины от туберкулёза. Разработка под названием «ГамТБвак», созданная в НИЦ эпидем …

00:11, мая 29, 2025 | ferra.ru
Коммерческое использование низкоорбитального интернета в России начнется в 2027 году

Коммерческое использование низкоорбитального интернета в России начнется в 2027 году

На конференции «Ведомостей» «Телеком 2025», которая прошла недавно в Москве, генеральный директор «ИКС Холдинг» Алексей Шелобков рассказал о планах п …

15:11, апреля 16, 2025 | ict-online.ru
Пособие по беременности и родам в России в 2027 году достигнет 1 млн рублей

Пособие по беременности и родам в России в 2027 году достигнет 1 млн рублей

В 2027 году размер пособия по уходу за ребенком до полутора лет в России увеличится до 95 тыс. руб. в месяц. Максимальная сумма пособия по беременнос …

00:11, октября 5, 2025 | kommersant.ru
В 2027 году в России возможно снижение объемов ввода жилья

В 2027 году в России возможно снижение объемов ввода жилья

Объёмы ввода нового жилья в России в 2027 году могут существенно сократиться или вовсе отсутствовать. …

05:11, июня 6, 2025 | bigness.ru
Samsung готовит 2-нм мобильные чипы к 2025 году и 1,4-нм к 2027 году

Samsung готовит 2-нм мобильные чипы к 2025 году и 1,4-нм к 2027 году

Samsung продолжает лидировать в технологической гонке, объявив о планах выпустить 2-нм мобильные чипы к 2025 году и 1,4-нм чипы к 2027 году. Эти разр …

08:48, июня 13, 2024 | itzine.ru
iPhone Air 2 выйдет в 2027 году

iPhone Air 2 выйдет в 2027 году

Согласно новому отчёту Марка Гурмана из Bloomberg, Apple готовится выпустить iPhone Air 2 весной 2027 года. Устройство продолжит реализацию проекта к …

05:11, ноября 17, 2025 | itzine.ru
В 2027 году Apple выпустит iPhone XX

В 2027 году Apple выпустит iPhone XX

В честь 20-летнего юбилея iPhone купертиновцы представят iPhone XX (iPhone 20), сообщает аналитик Omdia Хо Му Ель. Характеристики устройства не раскр …

20:11, октября 23, 2025 | ichip.ru
Супер-ИИ появится в 2027 году. Правда или нет

Супер-ИИ появится в 2027 году. Правда или нет?

Супер-ИИ может появиться уже в 2027 году. К таким выводам пришел бывший сотрудник OpenAI. Изображение: www.thesun.co.uk Пока специалисты в области ма …

20:11, августа 1, 2024 | hi-news.ru
Беркович и Петрийчук могут ходатайствовать об УДО в 2027 году

Беркович и Петрийчук могут ходатайствовать об УДО в 2027 году

Осужденные по делу об оправдании терроризма драматург Светлана Петрийчук и режиссер Евгения Беркович могут ходатайствовать об УДО в 2027 году. Об это …

10:11, декабря 30, 2024 | news.rambler.ru
К 2027 году четверть кода в МТС будет писать ИИ

К 2027 году четверть кода в МТС будет писать ИИ

МТС активно внедряет искусственный интеллект (ИИ) в процесс разработки программного обеспечения. Как рассказал «Ведомостям» первый вице-президент ком …

15:11, марта 11, 2025 | ferra.ru
AT&T прогнозирует устойчивый рост прибыли к 2027 году

AT&T прогнозирует устойчивый рост прибыли к 2027 году

Компания AT&T Inc. ожидает устойчивый рост прибыли в течение ближайших трех лет, включая двузначный рост в 2027 году, благодаря инвестициям в мобильн …

05:11, декабря 5, 2024 | finam.ru
В Москве возведут новый медиакластер к 2027 году

В Москве возведут новый медиакластер к 2027 году

В жилом комплексе «Родина Парк» на Верейской улице в Москве откроется медиакластер площадью 19 тысяч квадратных метров в 2027 году. Комплекс рассчита …

15:11, октября 27, 2024 | mockva.ru
Kia запустит производство электромобилей в Европе к 2027 году

Kia запустит производство электромобилей в Европе к 2027 году

Компания Kia запустила производство своего первого полностью электрического автомобиля, собранного в Европе — модели EV4. Выпуск осуществляется …

05:11, октября 15, 2025 | itzine.ru
В 2027 году на МКС начнут перерабатывать пластик для 3D-принетра

В 2027 году на МКС начнут перерабатывать пластик для 3D-принетра

Российские учёные разработают устройство для переработки неиспользованного пластика для 3D-принтера на МКС На борту МКС к лету 2027 года может появит …

05:11, декабря 22, 2024 | ferra.ru
Завершение поддержки: серверы New World отключат в 2027 году

Завершение поддержки: серверы New World отключат в 2027 году

В конце октября 2025 года Amazon объявила о сокращении 30 000 сотрудников . Наиболее серьезно пострадало игровое подразделение компании. Тогда же Ama …

10:11, января 18, 2026 | hardwareluxx.ru
Референдум по конституционным реформам в Армении готовят к 2027 году

Референдум по конституционным реформам в Армении готовят к 2027 году

Референдум по конституционным реформам в Армении планируется провести в 2027 году, заявили в Минюсте страны. …

15:11, августа 29, 2024 | eadaily.com
К 2027 году торговля между Ближним Востоком и Китаем ...

К 2027 году торговля между Ближним Востоком и Китаем ...

Согласно отчёту аналитического центра, к середине второго срока президентства Дональда Трампа в Белом доме торговые отношения Ближнего Востока с Кита …

00:11, декабря 6, 2024 | profinance.ru
Hyundai в 2027 году выпустит EREV с запасом хода 960 км

Hyundai в 2027 году выпустит EREV с запасом хода 960 км

На ежегодном мероприятии CEO Investor Day в Нью-Йорке Hyundai Motor Group объявила о планах вывести на рынок свой первый расширенный электрический ав …

00:11, сентября 19, 2025 | itzine.ru
В 2027 году пособия по беременности и родам превысят 1 млн рублей

В 2027 году пособия по беременности и родам превысят 1 млн рублей За два следующих года размеры выплат на рождённых в России детей будет последовательно расти. Уже в 2026 году за отпуск по беременности и родам можно …

15:11, октября 4, 2025 | secretmag.ru
Максимум пособия по нетрудоспособности в 2027 году превысит 250 000 рублей

Максимум пособия по нетрудоспособности в 2027 году превысит 250 000 рублей Согласно проекту бюджета Социального фонда России, в 2026 и 2027 годы существенно вырастут максимальные выплаты по больничным. Размер пособия будет п …

05:11, октября 6, 2025 | secretmag.ru
Санду планирует завершить переговоры о вступлении в ЕС в 2027 году

Санду планирует завершить переговоры о вступлении в ЕС в 2027 году По итогам саммита Евросоюза в декабре 2023 года было принято решение о запуске переговоров о будущем членстве в Европейском союзе для Украины и Молда …

05:11, апреля 14, 2025 | versia.ru
Кого из юристов заменили в 2027 году: письмо из будущего

Кого из юристов заменили в 2027 году: письмо из будущего Вам кажется, что будущее придет внезапно. Это не так. Оно наступает с каждым вашим отказом от автоматизации, с каждым «это невозможно» в ответ на зап …

10:11, октября 21, 2025 | pravo.ru
В Брюсселе назвали нереалистичным вступление Украины в ЕС в 2027 году

В Брюсселе назвали нереалистичным вступление Украины в ЕС в 2027 году Европейские дипломаты считают нереалистичным вступление Украины в Евросоюз в 2027 году. Об этом пишет британская газета The Guardian. "2027 год – это …

10:11, декабря 13, 2025 | gazeta.ru
Спутниковый интернет в РФ запустят в опытную эксплуатацию в 2027 году

Спутниковый интернет в РФ запустят в опытную эксплуатацию в 2027 году Российскую низкоорбитальную группировку спутников планируют ввести в опытно-промышленную эксплуатацию в конце 2026 года — начале 2027 года. Об этом с …

00:11, февраля 16, 2025 | astera.ru
Российский нефтегаз рассчитывает полностью импортозаместиться к 2027 году

Российский нефтегаз рассчитывает полностью импортозаместиться к 2027 году Индустриальный центр компетенций (ИЦК) «Нефтегаз, нефтехимия и недропользование», в который входят 13 компаний-лидеров отрасли, сегодня, 13 декабря 2 …

10:11, декабря 16, 2024 | ict-online.ru
Ученые ожидают, что к 2027 году в Арктике не останется льда

Ученые ожидают, что к 2027 году в Арктике не останется льда Арктика может полностью освободиться ото льда в течение трех лет, к 2027 году, что станет «зловещим событием» для планеты, сообщает Daily Mail. Издан …

10:11, декабря 4, 2024 | kommersant.ru
АвтоВАЗ планирует увеличить экспорт до 30 тыс. машин к 2027 году

АвтоВАЗ планирует увеличить экспорт до 30 тыс. машин к 2027 году АвтоВАЗ в этом году планирует поставить за границу более 20 тыс. автомобилей и машинокомплектов, сообщил президент компании Максим Соколов. Он также …

15:11, октября 21, 2025 | kommersant.ru
Россия выпустит первый высокоскоростной электропоезд в 2027 году

Россия выпустит первый высокоскоростной электропоезд в 2027 году Первый электропоезд для высокоскоростной железнодорожной магистрали между Москвой и Санкт-Петербургом будет произведен в 2027 году и получит сертифик …

20:11, июля 8, 2024 | ferra.ru
Минобрнауки утвердило минимальные баллы ЕГЭ для поступления в 2027 году

Минобрнауки утвердило минимальные баллы ЕГЭ для поступления в 2027 году Минобрнауки России утвердило минимальные баллы ЕГЭ, необходимые для поступления в вузы на 2026/2027 учебный год, сообщило «РИА Новости». Минимальный …

10:11, декабря 17, 2025 | kommersant.ru
Apple планирует обновить дисплей MacBook Air к 2027 году

Apple планирует обновить дисплей MacBook Air к 2027 году Apple собирается выпустить новый MacBook Air с жидкристаллическим дисплеем на основе оксидных тонкоплёночных транзисторов (TFT) в 2027 году. Это буде …

20:11, января 19, 2025 | astera.ru
Xiaomi выйдет на рынок электромобилей Европы в 2027 году

Xiaomi выйдет на рынок электромобилей Европы в 2027 году Xiaomi официально подтвердила планы выхода на европейский рынок электромобилей в 2027 году. Это будет первый зарубежный рынок для нового направления …

15:11, августа 21, 2025 | ferra.ru
Максимум пособия по нетрудоспособности в 2027 году превысит 250 тыс. рублей

Максимум пособия по нетрудоспособности в 2027 году превысит 250 тыс. рублей Согласно проекту бюджета Социального фонда России, в 2026 и 2027 годы существенно вырастут максимальные выплаты по больничным. Размер пособия будет п …

00:11, октября 7, 2025 | secretmag.ru
Вакцину от ВПЧ планируют сделать бесплатной для россиян в 2027 году

Вакцину от ВПЧ планируют сделать бесплатной для россиян в 2027 году Вакцину от вируса папилломы человека (ВПЧ) планируется внести в национальный календарь прививок в России в 2027 году, сообщил глава комитета Госдумы …

10:11, декабря 30, 2025 | kommersant.ru
Газпром запустит поставки в КНР по дальневосточному маршруту в 2027 году

«Газпром» запустит поставки в КНР по дальневосточному маршруту в 2027 году Поставки в Китай по дальневосточному маршруту начнутся в 2027 году, сообщил глава «Газпрома» (MOEX: GAZP) Алексей Миллер. Договор предполагает объем …

00:11, июня 30, 2024 | kommersant.ru
К 2027 году головной южнокорейский УДК класса Токто модернизируют

К 2027 году головной южнокорейский УДК класса "Токто" модернизируют Военно-морские силы Южной Кореи решили модернизировать универсальный десантный корабль "Токто" (Dokdo), оснастив его новым радаром дальнего действия, …

00:11, октября 31, 2024 | военное.рф
Европа готовится вслед за США перейти на систему T1 уже в 2027 году

Европа готовится вслед за США перейти на систему T+1 уже в 2027 году Европа, похоже, готова последовать примеру США по переходу на систему T+1, и, как сообщает агентство Bloomberg, чиновники рассматривают возможность п …

10:11, июля 11, 2024 | finam.ru
Внезапно: фильм The Legend of Zelda выйдет в 2027 году

Внезапно: фильм The Legend of Zelda выйдет в 2027 году Компания Nintendo официально подтвердила, что фильм The Legend of Zelda выйдет в кинотеатрах 26 марта 2027 года.Объявление появилось в новом приложен …

15:11, марта 29, 2025 | ichip.ru
Sony PlayStation 6 и гибридный Xbox выйдут в 2027 году

Sony PlayStation 6 и гибридный Xbox выйдут в 2027 году По информации инсайдера под ником KeplerL2, Sony и Microsoft планируют представить PlayStation 6 и новое поколение Xbox в 2027 году. Он утверждает, ч …

20:11, октября 14, 2025 | ichip.ru
Китай начнет возить туристов в космос в 2027 году

Китай начнет возить туристов в космос в 2027 году Китайская Deep Blue Aerospace заявляет о начале продаж билетов на коммерческие космические полеты в 2027 году. Компания предлагает два места в первом …

00:11, октября 27, 2024 | api.follow.it
Алроса заместила около 40% евробондов с погашением в 2027 году

«Алроса» заместила около 40% евробондов с погашением в 2027 году «Алроса» заместила почти 40% евробондов с погашением в 2027 году, разместив облигации на $198,4 млн. Всего компания планировала разместить до 500 000 …

00:11, июля 13, 2024 | forbes.ru
Роскосмос начнёт серийное производство спутников в 2027 году

Роскосмос начнёт серийное производство спутников в 2027 году В 2027 году Роскосмос планирует начать серийное производство спутников. Об этом сообщил Андрей Ельчанинов, первый заместитель генерального директора …

20:11, августа 5, 2024 | itzine.ru
Российские физики создадут самый мощный лазер в мире к 2030 году

Российские физики создадут самый мощный лазер в мире к 2030 году Российские учёные из Национального центра физики и математики (НЦФМ) планируют создать к 2030 году самый мощный в мире лазер мощностью 100 петаватт. …

00:11, декабря 2, 2024 | news.rambler.ru
Россия может провести чемпионат мира по бодибилдингу в 2027 году

Россия может провести чемпионат мира по бодибилдингу в 2027 году Объединенный чемпионат мира по бодибилдингу 2027 года может пройти в России. В Федерации бодибилдинга России уже получили предварительное согласие от …

15:11, марта 16, 2025 | forbes.ru
Великобритания намерена перейти на расчеты Т1 на фондовом рынке в 2027 году

Великобритания намерена перейти на расчеты Т+1 на фондовом рынке в 2027 году Великобритания намерена перейти на расчеты Т+1 на фондовом рынке в 2027 году, пишет Bloomberg.Председатель рабочей группы по переходу на Т+1 при прав …

20:11, января 27, 2025 | finam.ru
Единые учебники по русскому языку для старшеклассников введут в 2027 году

Единые учебники по русскому языку для старшеклассников введут в 2027 году Советник президента Елена Ямпольская сообщила, что первые единые учебники по русскому языку и литературе для 10-11-х классов будут введены в школах с …

10:11, августа 15, 2025 | kommersant.ru
Anthropic захотела открыть черный ящик ИИ-моделей к 2027 году

Anthropic захотела открыть «черный ящик» ИИ-моделей к 2027 году Генеральный директор Anthropic Дарио Амодеи заявил, что его компания намерена к 2027 году научиться выявлять большинство проблем в работе передовых м …

15:11, апреля 26, 2025 | ferra.ru
Газпром в 2027 году запустит дальневосточный маршрут на 10 млрд куб. м газа в год

«Газпром» в 2027 году запустит «дальневосточный» маршрут на 10 млрд куб. м газа в год «Газпром» в 2027 году запустит «дальневосточный» маршрут на 10 млрд куб. м газа в год. Об этом заявил председатель правления компании Алексей Миллер, …

00:11, июня 30, 2024 | finam.ru
Прогноз: к 2027 году объем игрового рынка ОАЭ приблизится к 493 млн долларов

Прогноз: к 2027 году объем игрового рынка ОАЭ приблизится к 493 млн долларов Аналитики Statista опубликовали отчет о состоянии рынка видеоигр ОАЭ. Согласно их прогнозам, в период с 2024-го по 2027 год его размер будет увеличив …

15:11, октября 18, 2024 | app2top.ru
Apple готовит стеклянный iPhone к 20-летию устройства в 2027 году

Apple готовит стеклянный iPhone к 20-летию устройства в 2027 году Apple планирует масштабное обновление своей продуктовой линейки к 2027 году – юбилею iPhone, который впервые был представлен в 2007-м. Как сообщается …

20:11, мая 16, 2025 | ict-online.ru
Apple готовит лёгкую и доступную версию Vision Air к 2027 году

Apple готовит лёгкую и доступную версию Vision Air к 2027 году По информации аналитика Мин-Чи Куо, Apple планирует выпустить в 2027 году новую модель гарнитуры смешанной реальности под названием Vision Air. Устро …

00:11, сентября 4, 2025 | astera.ru
Первый MacBook с огромным сенсорным экраном выйдет в 2027 году

Первый MacBook с огромным сенсорным экраном выйдет в 2027 году Инсайдер и аналитик TFI Securities Мин-Чи Куо рассказал о планах Apple по выпуску первого ноутбука со складным экраном. Он утверждает, что такой MacB …

20:11, августа 23, 2024 | ichip.ru
Apple не выпустит iPhone 19 в 2027 году. Что будет вместо него

Apple не выпустит iPhone 19 в 2027 году. Что будет вместо него? Компания Apple планирует представить уникальный смартфон, приуроченный к двадцатилетию линейки iPhone. Пока официально ничего не подтверждено, но раз …

15:11, октября 23, 2025 | appleinsider.ru
В 2027 году на российских дорогах начнут ездить беспилотные авто

В 2027 году на российских дорогах начнут ездить беспилотные авто До конца 2027 года на российских дорогах разрешат использование беспилотных автомобилей Минтранс России сообщил, что разработан план, который поможет …

05:11, апреля 21, 2025 | ferra.ru
В 2027 году Apple выпустит 24-дюймовый iMac с OLED-дисплеем

В 2027 году Apple выпустит 24-дюймовый iMac с OLED-дисплеем Apple работает над 24-дюймовым iMac с OLED-дисплеем и рассчитывает завершить разработку уже к 2027 году. …

10:11, декабря 20, 2025 | ilenta.com
Флот РФ пополнится боевым ледоколом Николай Зубов в 2027 году

Флот РФ пополнится боевым ледоколом «Николай Зубов» в 2027 году «Николай Зубов» проекта 23 550 будет передан ВМФ России в 2027 году, сообщил журналистам врио генерального директора АО «Адмиралтейские верфи» Андрей …

20:11, декабря 27, 2024 | ferra.ru
Европа готовится к вооружённому противостоянию с Россией  то ли в 2027-м, то ли в 2030 году

Европа готовится к вооружённому противостоянию с Россией – то ли в 2027-м, то ли в 2030 году Всю прошлую неделю европейская пресса мусолила экспертное мнение британца Эда Арнольда из Королевского института оборонных исследований (RUSI), посов …

15:11, апреля 28, 2025 | versia.ru
Инсайдеры утверждают, что PlayStation 6 и новый Xbox выйдут в 2027 году

Инсайдеры утверждают, что PlayStation 6 и новый Xbox выйдут в 2027 году Похоже, следующая консольная война может начаться уже через два года. Надежный инсайдер KeplerL2, ранее не раз точно предсказывавший характеристики у …

15:11, октября 14, 2025 | itzine.ru
МегаФон подключится к новому поколению спутникового интернета в 2027 году

"МегаФон" подключится к новому поколению спутникового интернета в 2027 году «МегаФон» и российская аэрокосмическая компания «Бюро 1440», входящая в группу «ИКС Холдинг», объявили о заключении договора на предоставление услуг …

05:11, января 24, 2025 | finam.ru
Пропускной пункт на границе с Абхазией обещают реконструировать к 2027 году

Пропускной пункт на границе с Абхазией обещают реконструировать к 2027 году Автомобильный пункт пропуска Адлер на границе с Абхазией будет реконструирован к 2027 году, сообщили в Минтрансе России по итогам поездки первого зам …

00:11, мая 31, 2025 | eadaily.com
Renault и китайская компания Jiangling Motors создадут новый Twingo EV к 2026 году

Renault и китайская компания Jiangling Motors создадут новый Twingo EV к 2026 году Renault объявила о сотрудничестве с китайской компанией для совместной разработки нового поколения электромобилей Twingo EV, который выйдет на рынок …

09:16, июня 13, 2024 | itzine.ru
В 2027 году Apple может выпустить свои очки дополненной реальности

В 2027 году Apple может выпустить свои очки дополненной реальности Согласно последнему выпуску рассылки Power On Марка Гурмана, Apple продолжает разработку собственных умных очков. …

00:11, апреля 30, 2025 | ilenta.com
В Евросоюзе словом посмотрим оценили перспективы членства Украины в 2027 году

В Евросоюзе словом "посмотрим" оценили перспективы членства Украины в 2027 году Еврокомиссар по вопросам расширения Марта Кос поприветствовала пункт мирного плана по Украине, который включает членство Киева в политическом объедин …

10:11, декабря 14, 2025 | gazeta.ru
Компания главы Amazon доставит луноход NASA на Луну в 2027 году

Компания главы Amazon доставит луноход NASA на Луну в 2027 году Ровер VIPER снова включён в планы NASA. Он отправится на Луну в конце 2027 года на борту Blue Moon Mark 1, разработанного компанией Blue Origin Джефф …

15:11, сентября 21, 2025 | ferra.ru
К 2027 году британский флот вооружит лазерными установками четыре корабля

К 2027 году британский флот вооружит лазерными установками четыре корабля Британский Королевский военно-морской флот намерен к 2027 году оснастить четыре корабля системой направленного энергетического оружия DragonFire ("Др …

20:11, марта 27, 2025 | военное.рф
Юбилейный iPhone в 2027 году получит новый дизайн и высокий ценник

Юбилейный iPhone в 2027 году получит новый дизайн и высокий ценник Apple планирует масштабное обновление iPhone в 2027 году в честь 20-летия модели. Пока известно немного подробностей о предстоящем редизайне, однако …

00:11, апреля 30, 2025 | ilenta.com
Rapidus начнёт массовое производство чипов для Apple и Google к 2027 году

Rapidus начнёт массовое производство чипов для Apple и Google к 2027 году Японский производитель чипов Rapidus ведёт переговоры с такими крупными компаниями, как Apple и Google, а также с рядом других потенциальных клиентов …

00:11, апреля 5, 2025 | ferra.ru
Спутниковый интернет появится в российских самолетах, поездах и судах в 2027 году

Спутниковый интернет появится в российских самолетах, поездах и судах в 2027 году Российская компания «БЮРО 1440» сообщила журналистам «РИА Новости» о своей готовности к коммерческому запуску спутникового интернета в России в ближа …

00:11, августа 30, 2024 | itzine.ru
Что готовит Apple к юбилею iPhone в 2027 году: 6 главных нововведений Айфона 20

Что готовит Apple к юбилею iPhone в 2027 году: 6 главных нововведений Айфона 20 К двадцатилетию iPhone компания Apple готовит особую модель, которая, по слухам, станет самым радикальным обновлением дизайна за всю историю смартфон …

00:11, октября 29, 2025 | appleinsider.ru
Удешевленная версия AR-шлема Apple Vision Pro выйдет лишь в 2027 году

Удешевленная версия AR-шлема Apple Vision Pro выйдет лишь в 2027 году Аналитик Мин-Чи Куо сообщил, что выпуск более доступной версии AR-шлема Apple Vision Pro отложен до 2027 года. Ранее планировалось, что Apple предста …

10:11, ноября 5, 2024 | ferra.ru
333 л.с. с двух литров объема: самый мощный Volkswagen T-Roc выйдет в 2027 году

333 л.с. с двух литров объема: самый мощный Volkswagen T-Roc выйдет в 2027 году Volkswagen представил кроссовер T-Roc нового поколения в сентябре текущего года на автосалоне в Мюнхене, а спустя примерно 1,5-2 года, в 2027 году, н …

20:11, мая 31, 2025 | ixbt.com
Netflix получила эксклюзивные права на трансляцию женского ЧМ по футболу в 2027 году

Netflix получила эксклюзивные права на трансляцию женского ЧМ по футболу в 2027 году Американская стриминговая платформа Netflix заключила с Международной федерацией футбола (FIFA) соглашение на эксклюзивный показ женского чемпионата …

00:11, декабря 21, 2024 | finam.ru
К 2027 году в Алабаме запустят новую линию по производству модулей атомных подлодок

К 2027 году в Алабаме запустят новую линию по производству модулей атомных подлодок В четверг, 24 октября, компания Austal USA начала постройку нового производственного объекта для выпуска модулей подводных лодок на верфи в Мобиле (ш …

10:11, октября 26, 2024 | военное.рф
Советники NASA сомневаются в готовности Starship для лунной миссии Artemis 3 в 2027 году

Советники NASA сомневаются в готовности Starship для лунной миссии Artemis 3 в 2027 году В ходе публичного заседания 19 сентября Совет по аэрокосмической безопасности NASA выразил серьёзные опасения по поводу готовности версии лунного пос …

00:11, сентября 22, 2025 | ixbt.com
ТАСС: доля российских самолетов в парке авиакомпаний РФ может достичь 25% к 2027 году

ТАСС: доля российских самолетов в парке авиакомпаний РФ может достичь 25% к 2027 году Долю отечественных самолетов в парке крупнейших авиаперевозчиков РФ планируют повысить до 25% к 2027 году. Количество вертолетов российского производ …

00:11, октября 2, 2024 | kommersant.ru
Японский контрактный производитель Rapidus намерен начать выпуск 2-нм чипов в 2027 году

Японский контрактный производитель Rapidus намерен начать выпуск 2-нм чипов в 2027 году Основанная в 2022 году японская компания Rapidus сообщила об успешном производстве первых кремниевых пластин с 2-нм GAA-транзисторами. Rapidus создав …

20:11, июля 18, 2025 | hardwareluxx.ru
Яндекс планирует завершить строительство дата-центра во Владимирской области к 2027 году

Яндекс планирует завершить строительство дата-центра во Владимирской области к 2027 году Компания "Яндекс" намерена закончить возведение центра обработки данных (ЦОД) мощностью 80 МВт во Владимирской области к 2027 году. Эту информацию пр …

15:11, ноября 6, 2025 | ict-online.ru
Athena1 от SiPearl  самый защищённый процессор для гражданских и военных приложений ожидается в 2027 году

Athena1 от SiPearl — самый защищённый процессор для гражданских и военных приложений ожидается в 2027 году Компания SiPearl из Франции представила Athena1, новый процессор, разрабатываемый для широкого спектра задач двойного назначения — гражданских …

15:11, октября 12, 2025 | ixbt.com
Remedy: планы удвоить выручку к 2027 году, продажи Alan Wake 2 превысили 1,8 млн копий

Remedy: планы удвоить выручку к 2027 году, продажи Alan Wake 2 превысили 1,8 млн копий Финская компания Remedy Entertainment провела презентацию для инвесторов, на которой рассказала о финансовых планах на ближайшие годы. Также она поде …

00:11, ноября 23, 2024 | app2top.ru
Замена Lada Largus от самого АвтоВАЗа. Компания выпустит 7-местный минивэн в 2027 году

Замена Lada Largus от самого АвтоВАЗа. Компания выпустит 7-местный минивэн в 2027 году АвтоВАЗ в 2027 году выпустит совершенно новую модель — семейный минивэн, способный вместить 5 или 7 человек. Об этом пишет РИА «Новости&r …

15:11, марта 11, 2025 | ixbt.com
Первый в мире источник термоядерной энергии: Китай построит своё Искусственное Солнце в 2027 году

Первый в мире источник термоядерной энергии: Китай построит своё «Искусственное Солнце» в 2027 году Китай делает огромный шаг к будущему безуглеродной энергетики — его проект «искусственного Солнца» под названием BEST (Burning Expe …

15:11, октября 27, 2025 | ixbt.com
TSMC ускоряет строительство фабрики по производству 3-нанометровых чипов в США: производство могут запустить уже в 2027 году

TSMC ускоряет строительство фабрики по производству 3-нанометровых чипов в США: производство могут запустить уже в 2027 году TSMC планирует начать завоз и установку оборудования на площадке Fab 21 Phase 2 в Аризоне летом следующего года. Об этом сообщает Nikkei со ссылкой н …

00:11, декабря 19, 2025 | ixbt.com
Компания Interlune разрабатывает компактные комбайны для сбора лунного реголита для добычи гелия-3 на Луне к 2027 году

Компания Interlune разрабатывает компактные комбайны для сбора лунного реголита для добычи гелия-3 на Луне к 2027 году Компания Interlune, базирующаяся в Сиэтле и состоящая из бывших технологов Blue Origin, нацелилась на добычу гелия-3 на Луне. Этот редкий тяжёлый изо …

20:11, января 24, 2025 | ixbt.com
Минобрнауки определяет даты // Валерий Фальков предположил, что новая модель высшего образования заработает в 2027 году

Минобрнауки определяет даты // Валерий Фальков предположил, что новая модель высшего образования заработает в 2027 году Министр высшего образования Валерий Фальков представил ректорам черновую версию поправок к закону «Об образовании», которые должны нормативно закрепи …

05:11, февраля 17, 2025 | kommersant.ru
Китайский зонд Tianwen-2 взял курс на астероид-осколок Луны. Пробы прибудут на Землю к 2027 году

Китайский зонд Tianwen-2 взял курс на астероид-«осколок Луны». Пробы прибудут на Землю к 2027 году 28 мая в 20:31 по московскому времени Китай успешно запустил миссию Tianwen-2 с космодрома Сичан на ракете Long March 3B. Цель аппарата — собра …

05:11, мая 29, 2025 | ixbt.com
Тренды управления персоналом в 2026 году: прогноз от iSpring

Тренды управления персоналом в 2026 году: прогноз от iSpring В 2026 году управленцы и HRD столкнутся с необходимостью балансировать между скоростью принятия решений и операционной эффективностью. Классические с …

05:11, декабря 19, 2025 | iemag.ru
Ещё один известный автопроизводитель отказался от полного перехода на электромобили к 2027 году и выбрал мультиэнергетическую стратегию. Это Alfa Rom

Ещё один известный автопроизводитель отказался от полного перехода на электромобили к 2027 году и выбрал «мультиэнергетическую» стратегию. Это Alfa Romeo Alfa Romeo отказалась от своей стратегии полного перехода на электромобили к 2027 году. Вместо этого компания выбрала «мультиэнергетическую&raq …

20:11, января 27, 2025 | ixbt.com
Ничего личного, Илон, просто бизнес. В Китае появится свой Cybertruck  производство GAC Pickup 01 стартует в 2027 году

Ничего личного, Илон, просто бизнес. В Китае появится свой Cybertruck — производство GAC Pickup 01 стартует в 2027 году Китайская компания GAC Group объявила, что серийная версия концептуального пикапа GAC Pickup 01 выйдет на рынок в 2027 году. Автомобиль будет продава …

15:11, мая 12, 2025 | ixbt.com
Apple готовит iPhone Air 2 и юбилейный 20th Anniversary iPhone к 2027 году

Apple готовит iPhone Air 2 и юбилейный 20th Anniversary iPhone к 2027 году Apple планирует выпустить второе поколение iPhone Air и юбилейный iPhone к 20-летию модели, но в разные сроки — об этом сообщает Марк Гурман из Bloom …

00:11, ноября 18, 2025 | ilenta.com
Apple пропустит iPhone 19 и выпустит сразу iPhone 20 в 2027 году

Apple пропустит iPhone 19 и выпустит сразу iPhone 20 в 2027 году Apple может перескочить через iPhone 19 и выпустить сразу iPhone 20 — об этом заявил старший аналитик Omdia Хо Муёль на конференции в Южной Корее. По …

10:11, октября 23, 2025 | ferra.ru
В следующем году Apple может отказаться от базового iPhone 18. Но вернуть iPhone 19 в 2027

В следующем году Apple может отказаться от базового iPhone 18. Но вернуть iPhone 19 в 2027 В текущем поколении своих смартфонов Apple проведёт изменение, заменив модель Plus на модель Air. В следующем году, возможно, нас ожидает заметно бол …

05:11, августа 19, 2025 | ixbt.com
В 2027 году Apple представит iPhone 20 вместо iPhone 19

В 2027 году Apple представит iPhone 20 вместо iPhone 19 В 2027 году iPhone отметит свое 20-летие, и Apple, по данным инсайдеров, готовит к этому событию крупное обновление дизайна и изменение в системе наи …

15:11, октября 24, 2025 | ilenta.com
В России создадут Квантовый университет

В России создадут Квантовый университет В России по инициативе «Росатома» создадут Квантовый университет. Соглашение об учреждении организации на полях V Конгресса молодых ученых подписали …

20:11, ноября 26, 2025 | kommersant.ru
В России создадут Совет по демографической политике

В России создадут Совет по демографической политике В России создадут отдельный орган власти по вопросам демографии — Совет по реализации государственной демографической и семейной политики. Его возгла …

20:11, декабря 10, 2024 | forbes.ru
В России создадут Национальный словарный фонд

В России создадут Национальный словарный фонд Правительство России объявило о создании Национального словарного фонда. Это ресурс, на котором соберут информацию о нормах современного русского лит …

05:11, декабря 30, 2024 | secretmag.ru
В России создадут электросамолеты и воздушное такси

В России создадут электросамолеты и воздушное такси Центральный аэрогидродинамический институт (ЦАГИ) ведет разработки в области авиации нового поколения. По словам генерального директора института Кир …

20:11, апреля 11, 2025 | ferra.ru
В России создадут алгоритм для обнаружения ИИ-мошенников

В России создадут алгоритм для обнаружения ИИ-мошенников В России разработают алгоритм для выявления случаев использования искусственного интеллекта (ИИ) при совершении киберпреступлений. Работа войдёт в пл …

15:11, августа 20, 2025 | ferra.ru
В России создадут ПО для разработки лекарств будущего

В России создадут ПО для разработки лекарств будущего Российские учёные разработают ПО для уникального масс-спектрометра, это поможет в разработке лекарств будущего В Первом МГМУ имени И. М. Сеченова раз …

05:11, сентября 17, 2024 | ferra.ru
В России создадут отечественный футбольный симулятор

В России создадут отечественный футбольный симулятор Разработка успешного спортивного симулятора в России является долгосрочной задачей, для решения которой потребуется более десяти лет. Такое мнение вы …

05:11, ноября 7, 2025 | ferra.ru
В России создадут суперкомпьютер для исследований в энергетике

В России создадут суперкомпьютер для исследований в энергетике В России создадут новый суперкомпьютер для научных исследований в энергетике и теплофизике. Его разработкой займется холдинг "Росэлектроника" совмест …

15:11, ноября 17, 2024 | pravda.ru
В России создадут спутник для сверхнизкой орбиты

В России создадут спутник для сверхнизкой орбиты В России пройдет технологический конкурс «Сверхнизкие орбиты», направленный на создание кубсата (малого спутника) для полета на высотах 1 …

05:11, октября 17, 2025 | ixbt.com
В России создадут круизный арктический лайнер

В России создадут круизный арктический лайнер Специалисты из МКБ «Алмаз», входящего в структуру отечественной ОСК, разработали проект круизного лайнера «Кунашир», предназначенного для путешествий …

05:11, июля 2, 2024 | news.rambler.ru
В России создадут единую базу госстатистики

В России создадут единую базу госстатистики Власти объединят разрозненные базы данных многочисленных ведомств в одну. В реформирование госстатистики в России к 2030 году планируется вложить 13, …

05:11, ноября 29, 2024 | ict-online.ru
В России создадут новый природный заповедник

В России создадут новый природный заповедник Правительство Российской Федерации приняло решение о создании нового государственного природного заповедника под названием «Степь Донецкая» на террит …

00:11, июля 7, 2025 | versia.ru
Rivada Space Networks объявила о запуске автономной спутниковой сети Outernet к 2027 году: $15 млрд контрактов, лазерная связь и защита от атак на ин

Rivada Space Networks объявила о запуске автономной спутниковой сети Outernet к 2027 году: $15 млрд контрактов, лазерная связь и защита от атак на интернет После многолетних сомнений в реализуемости проекта спутниковой группировки Outernet компания Rivada Space Networks объявила о планах запустить первую …

00:11, марта 11, 2025 | ixbt.com
В России создадут систему мониторинга токсичных водорослей

В России создадут систему мониторинга токсичных водорослей Восемь российских научных организаций приступили к созданию первой национальной системы мониторинга вредоносного цветения водорослей. Проект координи …

15:11, августа 21, 2025 | ferra.ru
В России создадут единые учебники по всем предметам

В России создадут единые учебники по всем предметам Министр просвещения РФ Сергей Кравцов заявил, что в ближайшие три года для российских школ будут созданы единые учебники по всем предметам. Об этом с …

15:11, мая 26, 2025 | news.rambler.ru
В России создадут фонд поддержки отечественных разработчиков

В России создадут фонд поддержки отечественных разработчиков В России запустят фонд, который будет спонсировать отечественных разработчиков В 2024 году «Ростелеком» планирует запустить новый венчурный фонд «Кон …

21:48, июня 13, 2024 | ferra.ru
В России создадут ИИ-систему для выявления хромоты у коров

В России создадут ИИ-систему для выявления хромоты у коров В пресс-службе РГАУ-МСХА имени Тимирязева сообщили, что специалисты вуза работают над созданием интеллектуальной системы для ранней диагностики хромо …

00:11, августа 9, 2025 | ferra.ru
В России создадут Единую программу исследований в области ИИ

В России создадут Единую программу исследований в области ИИ Артем Шейкин, заместитель председателя Совета по развитию цифровой экономики при Совете Федерации сообщил, что Министерство экономического развития Р …

20:11, декабря 5, 2024 | ferra.ru
В округах России создадут мастерские для кинематографистов и зрителей

В округах России создадут мастерские для кинематографистов и зрителей Фонд поддержки регионального кино (ФПРК) планирует создать в федеральных округах мастерские с образовательными программами для кинематографистов. Об …

05:11, июля 10, 2024 | eadaily.com
В России создадут умную систему энергосбережения для предприятий

В России создадут умную систему энергосбережения для предприятий Участники программы «Большие вызовы» в образовательном центре «Сириус» работают над созданием интеллектуальной системы для промышленных предприятий, …

05:11, июля 17, 2025 | ferra.ru
Ведомости: в России создадут профстандарт патриотического воспитания

«Ведомости»: в России создадут профстандарт патриотического воспитания Правительство России поручило до декабря 2027 года определиться с обязанностями и задачами специалистов по патриотическому воспитанию молодёжи. К так …

15:11, ноября 6, 2025 | secretmag.ru
В России создадут единую систему отслеживания БПЛА

В России создадут единую систему отслеживания БПЛА На фоне текущих геополитических событий инициативы, связанные с усилением защиты от вражеских беспилотников, становятся всё более актуальными. В числ …

15:11, июля 4, 2025 | ict-online.ru
В России создадут новый исследовательский ледокольный флот

В России создадут новый исследовательский ледокольный флот В России предложили создать новый научно-исследовательский ледокольный флот для изучения Арктики. Об этом шла речь на заседании научно-экспертного со …

20:11, марта 25, 2025 | ferra.ru
В России создадут суперпластики для авто, беспилотников и поездов

В России создадут суперпластики для авто, беспилотников и поездов В России началась разработка «суперпластиков», которые предназначены для использования в автомобилях и беспилотных летательных аппаратах. Проект веде …

20:11, апреля 11, 2025 | ferra.ru
В России создадут реестр всех проданных смартфонов

В России создадут реестр всех проданных смартфонов Власти России планируют ввести новые меры контроля над рынком мобильных устройств для борьбы с техническими средствами мошенников. …

00:11, декабря 18, 2025 | iguides.ru
В России создадут единое окно для согласования госзаказов на ИТ

В России создадут «единое окно» для согласования госзаказов на ИТ Минцифры предлагает сделать ФБГУ «Центр экспертизы и координации информатизации» единым центром согласования ИT-расходов всех госорганов. В процессе …

10:11, декабря 14, 2024 | zoom.cnews.ru
В России создадут чистые комнаты для производства микроэлектроники

В России создадут «чистые комнаты» для производства микроэлектроники Президент Российской академии наук (РАН) Геннадий Красников сообщил, что в России планируют построить «чистые комнаты».Они представляют собо технолог …

15:11, сентября 23, 2024 | ferra.ru
В России в течение 3 лет создадут экспресс-тест для определения рака

В России в течение 3 лет создадут экспресс-тест для определения рака Универсальная тест-система для оперативного выявления онкологических заболеваний, созданная на основе ферментов морских микроорганизмов, может быть з …

20:11, января 5, 2026 | versia.ru
В России создадут виртуального помощника, говорящего на якутском языке

В России создадут виртуального помощника, говорящего на якутском языке В Республике Саха (Якутия) планируют разработать виртуального помощника на якутском языке под названием «Эдьиий». Этот проект ведет лаборатория искус …

00:11, июня 1, 2025 | ferra.ru
В России создадут единый центр для производства морских дронов

В России создадут единый центр для производства морских дронов На базе "Кингисеппского машиностроительного завода" (КМЗ), расположенного в Санкт-Петербурге, планируется создание единой промышленной площадки для п …

20:11, сентября 30, 2024 | gazeta.ru
В России создадут единый центр по производству безэкипажных катеров

В России создадут единый центр по производству безэкипажных катеров Российские производители безэкипажных катеров (БЭК) объявили о создании единой промышленной площадки для производства морских дронов на базе военно-п …

20:11, сентября 30, 2024 | ferra.ru
В России создадут федеральный оперативный штаб по борьбе с кибермошенничеством

В России создадут федеральный оперативный штаб по борьбе с кибермошенничеством Правительство Российской Федерации приступает к формированию федерального оперативного штаба по противодействию кибермошенничеству. Соответствующее п …

20:11, января 13, 2026 | iemag.ru
В России создадут мощный суперкомпьютер на отечественной элементной базе

В России создадут мощный суперкомпьютер на отечественной элементной базе В России создадут суперкомпьютер нового поколения, который смогут применять для проведения научно-исследовательских, опытно-конструкторских и техноло …

20:11, ноября 14, 2024 | zoom.cnews.ru
В России создадут кинофраншизу с героями сказок Корнея Чуковского

В России создадут кинофраншизу с героями сказок Корнея Чуковского Продюсерская компания «Яр&Ко» создаст фэнтезийную франшизу по мотивам сказок детского писателя Корнея Чуковского. Сценарий первого фильма напишет Оле …

19:00, июня 11, 2024 | forbes.ru
Известия: в составе ВМФ России создадут полки беспилотных систем

«Известия»: в составе ВМФ России создадут полки беспилотных систем В составе всех флотов Военно-морского флота России будут сформированы полки беспилотных систем. Об этом сообщает газета «Известия» со ссылкой на исто …

10:11, мая 13, 2025 | news.rambler.ru
В России создадут единый интернет-ID, привязанный к номеру телефона

В России создадут единый интернет-ID, привязанный к номеру телефона Минцифры объявило о введении единого ID пользователей интернета, который будет связан с номером телефона. Эта мера направлена на более точное измерен …

00:11, декабря 24, 2025 | astera.ru
В России создадут сеть центров и лабораторий для нового транспорта

В России создадут сеть центров и лабораторий для нового транспорта В рамках утвержденной концепции развития транспортной отрасли будет создана научная инфраструктура. Как сообщил вице-премьер Виталий Савельев, Минтра …

10:11, декабря 23, 2025 | ferra.ru
В России создадут платформу для постоянного мониторинга неврологических заболеваний

В России создадут платформу для постоянного мониторинга неврологических заболеваний Российские учёные разработают платформу для постоянного мониторинга и анализа состояния людей с неврологическими заболеваниями Специалисты Сургутског …

00:11, декабря 15, 2024 | ferra.ru
В России создадут информсистему для профилактики безнадзорности среди детей

В России создадут информсистему для профилактики безнадзорности среди детей Для получения статистики в ГИС соберут данные о несовершеннолетних, которые употребляют алкоголь, наркотические средства, убегают из дома и т. п. …

20:11, апреля 4, 2025 | garant.ru
В России создадут полигоны для тестирования оборудования для создания чипов

В России создадут полигоны для тестирования оборудования для создания чипов Минпромторг создаст испытательные полигоны для отечественных чиповМинпромторг определил три основных направления для создания полигонов, где будут те …

21:48, июня 13, 2024 | ferra.ru
В России создадут реестр компаний в сфере промдизайна и инжиниринга

В России создадут реестр компаний в сфере промдизайна и инжиниринга Минпромторг подготовил правила внесения компаний в сфере промышленного дизайна и инжиниринга в новый реестр для оказания им господдержки. …

05:11, сентября 14, 2024 | zoom.cnews.ru
Пока не вышли даже iPhone 16, в Сети появились данные об iPhone 19. Тетрапризменная камера моделей Pro в 2027 году получит очень серьёзные улучшения

Пока не вышли даже iPhone 16, в Сети появились данные об iPhone 19. Тетрапризменная камера моделей Pro в 2027 году получит очень серьёзные улучшения Пока Apple готовится представить линейку iPhone 16, аналитик TF International Securities Минг-Чи Куо рассказал о том, чего ждать от iPhone 19! Автор …

20:11, июля 13, 2024 | ixbt.com
План обороны России продлили до 2027 года

План обороны России продлили до 2027 года Президент Владимир Путин подписал указ о продлении действия плана обороны России на два года, до 2027-го. …

20:11, мая 16, 2025 | военное.рф
Минэкономразвития прогнозирует рост ВВП России с 2024 по 2027 год на 13%

Минэкономразвития прогнозирует рост ВВП России с 2024 по 2027 год на 13% Экономика России в период с 2024 по 2027 год вырастет на 13%. Об этом заявил глава Минэкономразвития Максим Решетников на заседании правительства.«Со …

10:11, сентября 25, 2024 | finam.ru
Систему tax free в России продлят до 2027 года

Систему tax free в России продлят до 2027 года Правительство утвердило постановление о продлении эксперимента по внедрению tax free в России еще на три года -- до конца 2027-го, пишет «Интерфакс». …

15:11, ноября 2, 2024 | kommersant.ru
ТАСС: в России создадут механизм ограничения доступа к опасному контенту

ТАСС: в России создадут механизм ограничения доступа к опасному контенту В России может появиться механизм добровольного ограничения доступа к потенциально опасному контенту, передает ТАСС со ссылкой на правительственный п …

05:11, августа 25, 2025 | news.rambler.ru
В России создадут мастерскую политического образования по опыту школы комсомола

В России создадут мастерскую политического образования по опыту школы комсомола На базе центра дополнительного образования «Сенеж» будет создана мастерская политического образования. Как сообщают источники РБК, проект одобрен адм …

15:11, апреля 15, 2025 | kommersant.ru
В России создадут дыхательный тест для ранней диагностики рака лёгких

В России создадут дыхательный тест для ранней диагностики рака лёгких Учёные из Краснодара работают над созданием нового метода диагностики рака лёгких на ранних стадиях. Технология основана на анализе состава выдыхаемо …

05:11, июля 19, 2025 | ferra.ru
В России создадут группировку интернет-спутников с покрытием дружественных стран

В России создадут группировку интернет-спутников с покрытием дружественных стран Россия намерена создать группировку спутников, которая обеспечит быстрый интернет не только на ее территории, но и в дружественных странах, заявил пр …

20:11, октября 1, 2024 | kommersant.ru
Без пробок и сложностей с парковкой: в России создадут систему городского канатного такси

Без пробок и сложностей с парковкой: в России создадут систему городского канатного такси Московский Политех и компания «Руслет», отечественный производитель канатных дорог, подписали соглашение о сотрудничестве. В рамках партн …

15:11, сентября 17, 2024 | ixbt.com
Канада и Северная Европа создадут арктическую коалицию против России и Китая

Канада и Северная Европа создадут арктическую коалицию против России и Китая Канада и страны Северной Европы наладили сотрудничество с целью создания новой коалиции по безопасности в Арктике, которая будет противодействовать Р …

05:11, октября 3, 2024 | gazeta.ru
В России создадут фонд помощи наркозависимым людям имени Паши Техника

В России создадут фонд помощи наркозависимым людям имени Паши Техника Депутат Владислав Даванков и мать Паши Техника Надежда Ивлева анонсировали создание фонда помощи наркозависимым имени рэпера. Организация в том числе …

00:11, июня 17, 2025 | forbes.ru
В России создадут eSIM-модуль и операционные системы на замену Android и Windows

В России создадут eSIM-модуль и операционные системы на замену Android и Windows «СМИ Холдинг» и CommuniGate Systems планируют разработать eSIM-модуль для смартфонов, а также операционные системы для мобильных устройств и компьюте …

10:11, марта 28, 2025 | iguides.ru
В Союзном государстве Белоруссии и России создадут Совет по защите прав потребителей

В Союзном государстве Белоруссии и России создадут Совет по защите прав потребителей В Союзном государстве появится Совет по защите прав потребителей. Об этом говорится в межправительственном соглашении Белоруссии и России, официально …

15:11, июня 12, 2025 | eadaily.com
Обновлен порядок деятельности Межрегионального управления Федерального казначейства в сфере управления ликвидностью

Обновлен порядок деятельности Межрегионального управления Федерального казначейства в сфере управления ликвидностью Приказ Минфина России от 2 ноября 2024 г. № 160н "О внесении изменения в приложение N 4 к приказу Министерства финансов Российской Федерации от 17 се …

20:11, февраля 8, 2025 | garant.ru
Минздрав России разработал программу госгарантий медпомощи на 2025-2027 гг.

Минздрав России разработал программу госгарантий медпомощи на 2025-2027 гг. В ней предусмотрены дополнительные нормативы финзатрат на проведение репродуктивной диспансеризации. Комплексное обследование смогут пройти 19,4 млн …

00:11, октября 17, 2024 | garant.ru
Международный авиасалон будет проведён в России в 2026 и 2027 годах

Международный авиасалон будет проведён в России в 2026 и 2027 годах Председатель правительства России Михаил Мишустин подписал распоряжение о проведении Международного авиационно-космического салона (МАКС) в 2026 и 20 …

05:11, июля 14, 2025 | ferra.ru
Минфин России определил направления налоговой политики на 2025-2027 гг.

Минфин России определил направления налоговой политики на 2025-2027 гг. Министерство представило анализ внутренних налоговых условий, а также озвучило планы по таможенно-тарифному регулированию. …

20:11, октября 22, 2024 | garant.ru
Эксперимент по льготной ипотеке для госслужащих продлится в России до 2027 года

Эксперимент по льготной ипотеке для госслужащих продлится в России до 2027 года В России продлили эксперимент по программе льготной ипотеки под 12% для госслужащих. Об этом сообщил РБК, ссылаясь на соответствующее постановление п …

20:11, января 17, 2025 | kommersant.ru
В России создадут спецоператора для особых клиентов, который будет скрывать их местоположение и контакты

В России создадут спецоператора для особых клиентов, который будет скрывать их местоположение и контакты В России будет создан защищенный виртуальный оператор для спецпотребителей, который, в том числе, будет обеспечивать возможность сокрытия информации …

20:11, сентября 3, 2024 | zoom.cnews.ru
Правительство России продлило до конца 2027 года действие пилота по tax free

Правительство России продлило до конца 2027 года действие «пилота» по tax free Правительство России продлило до 31 декабря 2027 года действие пилотного проекта по возврату НДС иностранцам при вывозе за пределы ЕАЭС приобретенных …

10:11, ноября 4, 2024 | finam.ru
Аналитики ждут роста выручки нефтесервисных компаний в России в 20252027 годах

Аналитики ждут роста выручки нефтесервисных компаний в России в 2025–2027 годах Этому будут способствовать восстановление добычи нефти в стране и освоение трудноизвлекаемых запасов …

20:11, сентября 1, 2025 | vedomosti.ru
Напольный вентилятор Evolution AirLeaf AL-307DC: 32 скорости воздушного потока, сенсорная панель управления, пульт дистанционного управления, аромати

Напольный вентилятор Evolution AirLeaf AL-307DC: 32 скорости воздушного потока, сенсорная панель управления, пульт дистанционного управления, ароматизация и ионизация Evolution AirLeaf AL-307DC не только необычно выглядит, но и обладает рядом любопытных особенностей. Например, встроенным ионизатором, функцией арома …

00:11, июля 10, 2025 | ixbt.com
Учёные создали прибор для регенерации тканей

Учёные создали прибор для регенерации тканей Ученые Научно-технологического парка биомедицины Первого МГМУ имени Сеченова разработали прототип прибора для фотобиомодуляции, который поможет в заж …

10:11, июня 20, 2024 | pravda.ru
В МЭИ создали сенсор для анализа тканей организма

В МЭИ создали сенсор для анализа тканей организма В пресс-службе Национального исследовательского университета «МЭИ» сообщили, что ученые кафедры общей физики и ядерного синтеза разработали прототип …

20:11, ноября 19, 2025 | ferra.ru
Ученые выяснили, как рак желудка становится независимым от тканей

Ученые выяснили, как рак желудка становится независимым от тканей Международная группа ученых выявила ранее неизвестный механизм, который позволяет клеткам рака желудка на ранних стадиях выживать и расти без поддерж …

15:11, декабря 26, 2025 | gazetadaily.ru
Создан ИИ для моделирования различных тканей для видеоигр и анимации

Создан ИИ для моделирования различных тканей для видеоигр и анимации Ученые из Китая разработали новую нейронную сеть для быстрого и качественного создания виртуальных тканей. Технология позволит значительно улучшить р …

00:11, июля 24, 2024 | ferra.ru
Новый метод визуализации тканей изменит трансплантологию

Новый метод визуализации тканей изменит трансплантологию Ученые из Королевского колледжа Лондона, Университета Южной Дании и Бостонского университета разработали устройство для неинвазивной визуализации тка …

05:11, сентября 11, 2024 | ferra.ru
Появился препарат для восстановления ДНК и регенерации поврежденных тканей

Появился препарат для восстановления ДНК и регенерации поврежденных тканей Регенерация ДНК стала реальностью. После двух десятилетий исследований ученые создали препарат, способный восстанавливать ДНК и регенерировать повреж …

00:11, декабря 17, 2025 | hi-news.ru
В России тестируют нейроинтерфейс управления Газелью

В России тестируют нейроинтерфейс управления «Газелью» Ульяновский государственный технический университет и российская биотех-лаборатория Neiry объединили усилия в совместной работе по созданию технологи …

10:11, сентября 28, 2024 | api.follow.it
Врач Умнов: из-за чая в пирамидках могут развиться воспаление тканей и рак

Врач Умнов: из-за чая в пирамидках могут развиться воспаление тканей и рак Пакетированный чай большинство любителей этого напитка вообще не воспринимают. Считается, что это изначально продукт низкого качества. Теперь выясняе …

10:11, июня 24, 2024 | secretmag.ru
Китайские учёные создали нановакцину от рака из опухолевых тканей

Китайские учёные создали нановакцину от рака из опухолевых тканей Учёные из Национального центра нанотехнологий Китайской академии наук создали нановакцину, основанную на антигенах мембраны опухолевых клеток. Препар …

00:11, декабря 26, 2024 | pravda.ru
Ошибки при стирке полотенец: переполненная машинка и смешивание тканей

Ошибки при стирке полотенец: переполненная машинка и смешивание тканей Лето — пора душа, моря и пляжей. А значит, полотенца становятся главным текстилем в доме: они впитывают всё - воду, песок, пот, хлор и солнцезащитный …

20:11, июля 11, 2025 | pravda.ru
Раковые клетки оценивают жесткость тканей организма для перемещения

Раковые клетки оценивают жесткость тканей организма для перемещения Исследователи из Университета Аалто (Финляндия), работающие в международной научной группе, выяснили, что раковые клетки способны оценивать жесткость …

20:00, июня 13, 2024 | pravda.ru
В России разработали систему автономного управления трамваями

В России разработали систему автономного управления трамваями Компания Cognitive Pilot, совместное предприятие Сбера и Cognitive Technologies, разработала инновационную систему навигации для автономного движения …

10:11, июля 5, 2024 | pravda.ru
В России создали уникальную систему управления приборами

В России создали уникальную систему управления приборами Учёные МФТИ в сотрудничестве с JetBrains Research разработали уникальную систему сбора данных и управления приборами, не имеющую аналогов на российск …

00:11, января 12, 2025 | pravda.ru
В России оценили вероятность совместного управления Запорожской АЭС

В России оценили вероятность совместного управления Запорожской АЭС Советник главы Крыма, депутат заксобрания Запорожской области Ринат Карчаа в беседе с РИА Новости оценил вероятность совместного управления Запорожск …

15:11, мая 17, 2025 | news.rambler.ru
Российские ученые разработали новый прибор для быстрого заживления тканей

Российские ученые разработали новый прибор для быстрого заживления тканей Ученые из научно-технологического парка биомедицины Первого МГМУ имени Сеченова разработали прототип прибора для фотобиомодуляции, предназначенного д …

20:11, июня 19, 2024 | ferra.ru
Материалы для 3D-биопечати открывают возможности для восстановления костей и мягких тканей

Материалы для 3D-биопечати открывают возможности для восстановления костей и мягких тканей 3D-биопечать — это передовая технология тканевой инженерии, которая создает сложные ткани с использованием биоактивных веществ, таких как живые клетк …

10:11, сентября 4, 2024 | android-robot.com
Травма тканей и кожи: компрессионный трикотаж опасен при сердечной недостаточности

Травма тканей и кожи: компрессионный трикотаж опасен при сердечной недостаточности Доктор Максим Казанский раскрыл опасность неправильного использования компрессионного трикотажа. Могут пострадать вены. …

15:11, июня 10, 2025 | medpulse.ru
Начался суд над бывшим офицером Главного управления связи ВС России

Начался суд над бывшим офицером Главного управления связи ВС России Генерал-майор Александр Оглоблин признал вину в получении взятки в 12 млн рублей от пермского завода "Телта". Об этом сообщает РИА Новости со ссылкой …

15:11, апреля 1, 2025 | военное.рф
Мертвым в своем кабинете найден замначальника управления П МВД России

Мертвым в своем кабинете найден замначальника управления «П» МВД России В Москве найден мертвым замначальника управления «П» МВД России полковник Евгений Головатый, в сферу которого входила борьба с преступностью на крупн …

15:11, февраля 27, 2025 | eadaily.com
ВС России уничтожили пункты управления БПЛА в Запорожской области

ВС России уничтожили пункты управления БПЛА в Запорожской области Расчеты самоходной артиллерийской установки "Гвоздика" уничтожили пункты управления БПЛА Вооруженных сил Украины (ВСУ) на территории Запорожской обла …

10:11, января 18, 2026 | gazeta.ru
В России реализована технология управления БПЛА через спутник

В России реализована технология управления БПЛА через спутник В Федеральном агентстве воздушного транспорта (Росавиация) назвали использование спутников для полета дронов перспективным. Ведомство заказала выполн …

20:11, июля 18, 2024 | zoom.cnews.ru
Вывести Банк России из-под внешнего управления. Согласна ли Дума

Вывести Банк России из-под внешнего управления. Согласна ли Дума? На финише минувшей недели Михаил Делягин, экономист, депутат и справорос внес в Государственную Думу два законопроекта. Звучат они вполне экономическ …

10:11, января 27, 2025 | eadaily.com
В России готовится платформа искусственного интеллекта для управления государством

В России готовится платформа искусственного интеллекта для управления государством В нацпроект «Экономика данных» могут внести план создания в России уже к 2026 г. платформы искусственного интеллекта для госуправления. На такой прое …

20:11, июля 17, 2024 | zoom.cnews.ru
ВС России нанесли удары по пунктам управления дронами ВСУ в Запорожье

ВС России нанесли удары по пунктам управления дронами ВСУ в Запорожье Российские военные нанесли удары по вражеским пунктам управления дронами в районе села Малая Токмачка и города Орехово Запорожской области. Об этом с …

05:11, августа 20, 2024 | eadaily.com
В России захотели увеличить минимальный возраст для управления электросамокатами

В России захотели увеличить минимальный возраст для управления электросамокатами В России власти задумались о повышении минимального возраста для управления электросамокатами и другими средствами индивидуальной мобильности (СИМ). …

10:11, октября 20, 2024 | pravda.ru
В России создано православное ПО на Linux для управления морским транспортом

В России создано «православное» ПО на Linux для управления морским транспортом Компания «Ситроникс» разработала российскую систему управления движением судов в морских портах. Оно призвано заменить решение Navi-Harbour, первонач …

15:11, сентября 1, 2025 | zoom.cnews.ru
В России создали систему управления роботами силой мысли

В России создали систему управления роботами «силой мысли» Российские учёные разработали полностью отечественную систему управления роботами «силой мысли». Она была создана в рамках научной програ …

20:11, июля 11, 2025 | ixbt.com
Усадка тканей: почему ваши любимые вещи уменьшаются после стирки

Усадка тканей: почему ваши любимые вещи уменьшаются после стирки Ваши любимое платье или рубашка садятся после стирки? Порой это равносильно "катастрофе", особенно если вы следовали всем инструкциям. Некоторые ткан …

05:11, августа 7, 2025 | pravda.ru
Путин поручил шить военное обмундирование на территории страны из российских тканей

Путин поручил шить военное обмундирование на территории страны из российских тканей С 2026 года форма для российских военнослужащих должна производиться исключительно российскими организациями на территории страны, а с 2027 года — до …

10:11, сентября 18, 2025 | eadaily.com
Инфекция, убивающая печень: гепатит А может вызывать некроз тканей печени

Инфекция, убивающая печень: гепатит А может вызывать некроз тканей печени Доктор Александр Поцелуев раскрыл опасность заражения гепатитом А, пишет NEWS.ru. Инфекция может привести к массивному некрозу печени. …

05:11, ноября 21, 2025 | medpulse.ru
На имущество начальника цифрового управления ФСИН России наложен арест

На имущество начальника цифрового управления ФСИН России наложен арест Замоскворецкий суд Москвы постановил арестовать имущество начальника управления цифровой трансформации ФСИН Алексея Тимченко, следует из материалов д …

05:11, октября 30, 2024 | kommersant.ru
Кучно идет: арестован экс-начальник вещевого управления Минобороны России

Кучно идет: арестован экс-начальник вещевого управления Минобороны России В Москве арестован бывший начальник вещевого управления Минобороны РФ Владимир Демчик, его подозревают в получении взятки 4 млн рублей. Об этом сегод …

15:11, августа 6, 2024 | eadaily.com
Вертолет ВКС России уничтожил пункт управления БПЛА в частном доме

Вертолет ВКС России уничтожил пункт управления БПЛА в частном доме Экипаж вертолета Воздушно-космических сил России уничтожил пункт управления беспилотниками ВСУ, находящийся в частном доме в зоне ответственности гру …

20:11, мая 30, 2025 | news.rambler.ru
СК завел дело на главу Управления цифровой трансформации ФСИН России

СК завел дело на главу Управления цифровой трансформации ФСИН России Глава Управления цифровой трансформации ФСИН (Федеральной службы исполнения наказаний) России, полковник Алексей Тимченко задержан по подозрению в по …

20:11, августа 20, 2024 | news.rambler.ru
В России создана новая система дистанционного управления боевыми дронами

В России создана новая система дистанционного управления боевыми дронами В российской компании «Беспилотные системы» создали технологию дистанционного управления БПЛА. Как заявили в пресс-службе предприятия, новое решение …

05:11, января 21, 2026 | news.rambler.ru
Ручной отпариватель Evolution Handy 2: эффективный утюжок для вертикальной и горизонтальной обработки тканей

Ручной отпариватель Evolution Handy 2: эффективный «утюжок» для вертикальной и горизонтальной обработки тканей Отпариватель Evolution Handy 2 имеет современный и эргономичный дизайн, сочетающий стиль и функциональность. Прибор компактен, что делает его удобным …

10:11, марта 8, 2025 | ixbt.com
Клеточная революция: найден главный секрет роста тканей и рака, ученые нам врали

Клеточная революция: найден главный секрет роста тканей и рака, ученые нам врали Устоявшиеся со школьной скамьи представления о делении клеток учёные Манчестерского университета переворачивают с ног на голову. Более 100 лет школьн …

10:11, мая 4, 2025 | pravda.ru
Моющий пылесос для мебели и тканей Donlim: как быстро очистить диван и ковер без химчистки

Моющий пылесос для мебели и тканей Donlim: как быстро очистить диван и ковер без химчистки Горячий чай на диване, следы от обуви на ковре, шерсть и пыль, которые копятся быстрее из-за закрытых окон и редкого проветривания. Наверняка это всё …

05:11, января 16, 2026 | appleinsider.ru
Бывшего офицера Главного управления связи ВС России арестовали по новому делу

Бывшего офицера Главного управления связи ВС России арестовали по новому делу Бывшего начальника управления планирования связи (1-го управления) Главного управления связи ВС России генерал-майора Александра Оглоблина задержали …

05:11, октября 30, 2024 | военное.рф
Артем Жога открыл в Уральском институте управления фотовыставку Герои России

Артем Жога открыл в Уральском институте управления фотовыставку «Герои России» Герои России — пример, на который нужно равняться российской молодежи, заявил полномочный представитель президента РФ в Уральском федеральном округе, …

15:11, декабря 12, 2024 | news.rambler.ru
В России создали сервис для управления наземными роботами из любой точки страны

В России создали сервис для управления наземными роботами из любой точки страны Компания «Дронсхаб групп» вывела на российский рынок облачный сервис дистанционного управления, контроля и диспетчеризации... …

10:11, апреля 5, 2025 | zoom.cnews.ru
Почему я решил купить моющий пылесос для мебели, тканей и ковров Donlim и советую это сделать вам

Почему я решил купить моющий пылесос для мебели, тканей и ковров Donlim и советую это сделать вам Новый год традиционно ассоциируется с уютом, теплом и ощущением чего-то нового. Но есть вещь, которая способна испортить даже самое праздничное настр …

05:11, декабря 27, 2025 | appleinsider.ru
В России разработали платформу для управления дронами-курьерами, учитывающую ограничения на эксплуатацию БПЛА

В России разработали платформу для управления дронами-курьерами, учитывающую ограничения на эксплуатацию БПЛА Компания ICL Services представила цифровую платформу для доставки товаров дронами. Эксперты компании планируют запустить тестовые полигоны для отрабо …

00:11, августа 14, 2025 | zoom.cnews.ru
Чекисты исчезают в полдень // Суд объявил в розыск и заочно арестовал экс-замначальника управления К СЭБ ФСБ России

Чекисты исчезают в полдень // Суд объявил в розыск и заочно арестовал экс-замначальника управления «К» СЭБ ФСБ России Московский гарнизонный военный суд (МГВС) объявил в розыск бывшего заместителя начальника «банковского» управления «К» службы экономической безопасно …

00:11, декабря 30, 2025 | kommersant.ru
Defense News стало известно о реформе управления Пентагона по России, Украине и Евразии

Defense News стало известно о реформе управления Пентагона по России, Украине и Евразии Иностранное издание отмечает: «некогда относительно малоизвестное ведомство помогало формировать политику США в отношении конфликта и распоряжаться в …

15:11, мая 24, 2025 | versia.ru
Баканов: новый офис Роскосмоса станет центром всей космонавтики России // Баканов: в новом НКЦ будет находиться центр управления полетами РОС

Баканов: новый офис «Роскосмоса» станет центром всей космонавтики России // Баканов: в новом НКЦ будет находиться центр управления полетами РОС В новом Национальном космическом центре в Москве будет находиться центр управления полетами Российской орбитальной станции. Об этом сообщил глава «Ро …

15:11, сентября 14, 2025 | kommersant.ru
В Швейцарии создадут полностью съедобных роботов

В Швейцарии создадут полностью съедобных роботов Ученые из Федеральной политехнической школы Лозанны работают над созданием полностью съедобных роботов, которые в будущем могут оказаться на наших ст …

00:11, июня 15, 2024 | ferra.ru
Российский космический мусоросборщик создадут многоразовым

Российский космический мусоросборщик создадут многоразовым В России создадут многоразовый космический аппарат, предназначенный для сборки, транспортировки и утилизации мусора. Об этом со ссылкой на пресс-служ …

05:11, марта 7, 2025 | news.rambler.ru
В ДНР создадут единую интеллектуальную транспортную систему

В ДНР создадут единую интеллектуальную транспортную систему В Донецкой Народной Республике планируют внедрить единую интеллектуальную систему, которая объединит уличные камеры, «умные» светофоры, GPS-отслежива …

20:11, ноября 19, 2025 | ferra.ru
Российские ученые создадут ядерные часы

Российские ученые создадут ядерные часы Ядерные часы для изучения ранее недоступных областей могут появиться в России в 2030–2032 годах, заявил гендиректор Всероссийского научно-исследовате …

10:11, февраля 18, 2025 | kommersant.ru
ПСБ и МФТИ создадут совместное предприятие для разработки ИИ

ПСБ и МФТИ создадут совместное предприятие для разработки ИИ ПСБ и Московский физико-технический институт (МФТИ) заключили стратегическое партнерство для развития высокотехнологичных проектов. Соглашение было п …

15:11, июня 21, 2025 | ferra.ru
На границе Грузии с Арменией создадут новый КПП

На границе Грузии с Арменией создадут новый КПП В рамках проекта совместного использования таможенного пункта пропуска между Грузией и Арменией будет создан новый контрольно-пропускной пункт (КПП). …

15:11, июля 28, 2025 | eadaily.com
В Москве создадут экосистему для разработчиков мобильных игр

В Москве создадут экосистему для разработчиков мобильных игр Агентство креативных индустрий Москвы и российский магазин приложений RuStore договорились о совместном развитии индустрии мобильных игр. Сотрудничес …

15:11, сентября 4, 2025 | ferra.ru
В Москве и Грозном создадут два новых суда

В Москве и Грозном создадут два новых суда В Государственную думу направят проекты федеральных законов о создании Внуковского районного суда города Москвы и суда Путинского района города Грозн …

00:11, октября 29, 2025 | pravo.ru
В Якутске создадут инновационный центр по беспилотникам

В Якутске создадут инновационный центр по беспилотникам В Якутске по поручению президента России Владимира Путина будет создан инновационный центр комплексного применения беспилотных летательных аппаратов …

20:11, сентября 24, 2024 | ferra.ru
В Новосибирске создадут спутник для Росгидромета и Роскосмоса

В Новосибирске создадут спутник для Росгидромета и Роскосмоса Руководитель Передовой инженерной школы (ПИШ) Новосибирского государственного университета (НГУ) Сергей Головин сообщил, что специалисты вуза начали …

15:11, апреля 9, 2025 | news.rambler.ru
В Красноярске создадут биотехнологии для добычи золота

В Красноярске создадут биотехнологии для добычи золота В Красноярске при Сибирском федеральном университете создают лабораторию промышленных биотехнологий. Её задача — разработать новые методы извлечения …

00:11, августа 8, 2025 | ferra.ru
В Крыму создадут природный заповедник Мыс Мартьян

В Крыму создадут природный заповедник «Мыс Мартьян» В Ялте создадут государственный природный заповедник «Мыс Мартьян» на базе одноименного парка регионального значения. Общая площадь составит 241,4 га …

05:11, октября 20, 2025 | kommersant.ru
В Воронеже создадут отделение белорусского посольства

В Воронеже создадут отделение белорусского посольства В правительстве России подтвердили всестороннюю поддержку идеи по созданию на территории Воронежа отделения белорусского посольства. Об этом сегодня, …

00:11, августа 18, 2024 | eadaily.com
В Израиле создадут госкомиссию по расследованию нападения ХАМАС

В Израиле создадут госкомиссию по расследованию нападения ХАМАС Израильский министр обороны Йоав Галант потребовал создать государственную комиссию для всестороннего расследования событий 7 октября прошлого года, …

20:11, июля 11, 2024 | gazeta.ru
В РФ создадут спортивный фонд и урегулируют отчисления от азартных игр

В РФ создадут спортивный фонд и урегулируют отчисления от азартных игр Проект об учреждении такой организации для развития детско-юношеского и массового спорта поступил в нижнюю палату парламента. …

20:11, февраля 24, 2025 | garant.ru
Российские ученые создадут новые молекулы для лекарств

Российские ученые создадут новые молекулы для лекарств Заведующая Центральной научно-исследовательской лабораторией Сибирского государственного медицинского университета (СибГМУ) Елена Удут на Всероссийск …

05:11, сентября 27, 2025 | ferra.ru
Газета.Ru: в Вологодской области создадут организацию Опричники

«Газета.Ru»: в Вологодской области создадут организацию «Опричники» Курировать её будет министерство молодёжной политики региона. Как объяснил источник, близкий к правительству области, инициатива создания такой неком …

05:11, марта 1, 2025 | secretmag.ru
В Челябинске создадут федеральный центр промышленной робототехники

В Челябинске создадут федеральный центр промышленной робототехники На базе Южно-Уральского государственного университета (ЮУрГУ) в Челябинске появится федеральный Центр промышленной робототехники. Об этом сообщил губ …

05:11, августа 7, 2025 | ferra.ru
В Вологодской области создадут АНО Опричники для воспитания молодежи

В Вологодской области создадут АНО «Опричники» для воспитания молодежи Правительство Вологодской области создаст автономную некоммерческую организацию «Опричники» для воспитания молодежи. …

20:11, февраля 28, 2025 | news.rambler.ru
Единый реестр российских адвокатов создадут до 20 октября

Единый реестр российских адвокатов создадут до 20 октября Именно с этой даты вступит в силу заключительная часть поправок в Закон об адвокатской деятельности. …

20:11, октября 14, 2024 | garant.ru
В АП создадут управление по работе со странами ближнего зарубежья

В АП создадут управление по работе со странами ближнего зарубежья В администрации президента (АП) готовят структурные изменения в связи с новыми полномочиями первого замруководителя Сергея Кириенко, сообщают «Ведомо …

20:11, августа 5, 2025 | kommersant.ru
В Южной Корее создадут крупнейший дата-центр для ИИ

В Южной Корее создадут крупнейший дата-центр для ИИ По данным СМИ, южнокорейская корпорация SK Group, в которую входит один из крупнейших в мире производителей чипов SK Hynix, совместно с облачным подр …

05:11, июня 18, 2025 | kommersant.ru
В приграничных регионах РФ создадут свободные экономические зоны

В приграничных регионах РФ создадут свободные экономические зоны Правительство России утвердило постановление, согласно которому на отдельных территориях Белгородской, Брянской и Курской областей введут режим свобо …

15:11, октября 10, 2024 | gazeta.ru
DeepSeek и Пекинский университет создадут самосовершенствующиеся ИИ-модели

DeepSeek и Пекинский университет создадут самосовершенствующиеся ИИ-модели Китайский стартап DeepSeek и Пекинский университет Цинхуа объявили о совместной разработке более эффективных моделей искусственного интеллекта (BB). …

05:11, апреля 8, 2025 | ferra.ru
США создадут космический авианосец для оперативного развертывания спутников

США создадут «космический авианосец» для оперативного развертывания спутников Американский стартап «Gravitics», специализирующийся на космических технологиях, получил контракт от «Космических сил США» стоимостью 60 миллионов до …

15:11, апреля 1, 2025 | api.follow.it
В Ростовской области создадут яблоневый сад за 9,1 млрд рублей

В Ростовской области создадут яблоневый сад за 9,1 млрд рублей В Тацинском районе Ростовской области планируют создать интенсивный яблоневый сад площадью 1000 га с общими инвестициями в 9,1 млрд руб. Соответствую …

10:11, октября 10, 2025 | kommersant.ru
АСИ, Wildberries и Russ создадут платформу для продвижения брендов

АСИ, Wildberries и Russ создадут платформу для продвижения брендов Созданное по поручению Владимира Путина Агентство стратегических инициатив (АСИ) объявило о запуске образовательной «Платформы роста» для развития ро …

20:11, июля 25, 2024 | kommersant.ru
Для энергосбытовых компаний ДНР и ЛНР создадут системы ИБ-защиты за 90 млн рублей

Для энергосбытовых компаний ДНР и ЛНР создадут системы ИБ-защиты за 90 млн рублей Для поставщиков электроэнергии на территории Донецкой народной республики «Энергосбыт Донецк» и на территории Луганской народной республики «Энергосб …

05:11, ноября 29, 2024 | ict-online.ru
В московском Парке Горького создадут современный спорткомплекс

В московском Парке Горького создадут современный спорткомплекс В Парке Горького создают новый спортивный центр в рамках проекта по восстановлению и улучшению района. Процесс трансформации парка начался в 2011 год …

15:11, октября 1, 2024 | mockva.ru
В Перми создадут 3D-модель скелета древнего слона

В Перми создадут 3D-модель скелета древнего слона В Пермском краеведческом музее начался процесс создания точной трехмерной модели скелета трогонтериевого слона. Завершение этого проекта запланирован …

05:11, сентября 30, 2025 | ferra.ru
Госдума и Совет Федерации создадут согласительную комиссию

Госдума и Совет Федерации создадут согласительную комиссию Депутаты доработают закон, признающий сотрудников ВГА Запорожской и Херсонской областей ветеранами боевых действий …

05:11, декабря 20, 2024 | vedomosti.ru
Специалисты МАИ создадут систему виртуальных испытаний композитов

Специалисты МАИ создадут систему виртуальных испытаний композитов Инженеры Центра композиционных конструкций Московского авиационного института (МАИ) разрабатывают инновационный метод достоверных виртуальных испытан …

00:11, сентября 5, 2025 | военное.рф
В Дагестане создадут программу по сохранению родных языков

В Дагестане создадут программу по сохранению родных языков Глава Дагестана Сергей Меликов поручил правительству республики разработать программу по сохранению и развитию языков народов региона. Он указал, что …

05:11, мая 30, 2025 | kommersant.ru
Франция и ОАЭ создадут центр обработки данных для ИИ мощностью 1 ГВт

Франция и ОАЭ создадут центр обработки данных для ИИ мощностью 1 ГВт Франция и Объединенные Арабские Эмираты (ОАЭ) заключили соглашение о создании совместного центра обработки данных, предназначенного для искусственног …

15:11, февраля 7, 2025 | ferra.ru
В Казахстане создадут новый орган для расследования авиакатастроф

В Казахстане создадут новый орган для расследования авиакатастроф Для расследования авиакатастроф в Казахстане создадут новый орган. Об этом на заседании правительства заявил вице-министр транспорта республики Талга …

05:11, февраля 20, 2025 | eadaily.com
В Хабаровске создадут технопарк Амур для IT и креативных индустрий

В Хабаровске создадут технопарк «Амур» для IT и креативных индустрий В Хабаровске появится технопарк «Амур», ориентированный на креативные индустрии и IT-технологии. Федеральный бюджет выделит на его создание 500 милли …

05:11, ноября 7, 2025 | ferra.ru
Kraftway и PROF-IT GROUP создадут комплексные решения под 1С:ERP

Kraftway и PROF-IT GROUP создадут комплексные решения под 1С:ERP Компании Kraftway, один из крупнейших отечественных разработчиков и производителей вычислительной техники, и PROF-IT GROUP, российский цифровой промы …

10:11, декабря 29, 2025 | iemag.ru
Минцифры и Роскосмос создадут ИИ для анализа спутниковых снимков

Минцифры и Роскосмос создадут ИИ для анализа спутниковых снимков Минцифры России и Роскосмос работают над созданием комплекса сервисов на основе технологий искусственного интеллекта (ИИ). Они будут предназначены дл …

05:11, октября 31, 2025 | ferra.ru
Власти создадут рабочую группу по огородничеству и садоводству

Власти создадут рабочую группу по огородничеству и садоводству В России будет создана единая межведомственная рабочая группа, которая займётся вопросами садоводства и огородничества. Соответствующее поручение дал …

15:11, марта 22, 2025 | versia.ru
Ученые создадут кошек, которые не вызывают аллергию

Ученые создадут кошек, которые не вызывают аллергию Ученые в скором времени могут вывести породу кошек, которая не вызывает аллергию. Источник: rbc.ru Кошки являются самыми популярными домашними животн …

00:11, декабря 7, 2024 | hi-news.ru
Российские ученые создадут таблетки от диабета и ожирения

Российские ученые создадут таблетки от диабета и ожирения Ученые университета «Сириус» работают над созданием нового класса лекарств для лечения диабета 2-го типа и ожирения. В отличие от существующих зарубе …

15:11, августа 18, 2025 | ferra.ru
Российские учёные создадут виртуальные клетки человека

Российские учёные создадут виртуальные клетки человека Учёные из университета «Сириус» при поддержке Российского научного фонда взялись за создание виртуальной клетки человека. …

20:11, августа 2, 2024 | news.rambler.ru
Изменились перечни КБК на 2025-2027 гг.

Изменились перечни КБК на 2025-2027 гг. Приказ Минфина России (Министерство финансов РФ) от 13 ноября 2024 г. №165н "О внесении изменений в Приказ Министерства финансов Российской Федерации …

15:11, декабря 28, 2024 | garant.ru
Российские учёные создадут трёхмерные модели Луны и Марса

Российские учёные создадут трёхмерные модели Луны и Марса В России построят высокоточные 3D-модели Марса и Луны Российские учёные и разработчики объявили о старте масштабного проекта, цель которого — создани …

05:11, мая 6, 2025 | ferra.ru
В Москве создадут электронный сервис для поиска свободных земель

В Москве создадут электронный сервис для поиска свободных земель В Москве проходит конкурс «Лидеры цифровой трансформации», в рамках которого участники разрабатывают инновационные решения для города. Одна из задач …

00:11, июня 15, 2024 | ferra.ru
В Тихвине создадут экокластер с переработкой 40 тысяч тонн отходов

В Тихвине создадут экокластер с переработкой 40 тысяч тонн отходов Группа «Роснано» и Агентство стратегических инициатив создадут в Тихвине Ленинградской области первый региональный экокластер для переработки отходов …

15:11, ноября 11, 2025 | ferra.ru
На Кубани создадут систему для лечения рака молочной железы

На Кубани создадут систему для лечения рака молочной железы В Министерстве здравоохранения Краснодарского края сообщили, что ученые Кубанского государственного медицинского университета (КубГМУ) начали работу …

00:11, октября 18, 2025 | ferra.ru
Канадцы создадут беспилотную систему перевозки грузов на Луне

Канадцы создадут беспилотную систему перевозки грузов на Луне Исследователи из Торонто Института аэрокосмических исследований (UTIAS) разрабатывают систему, которая поможет автоматизировать доставку грузов на Лу …

05:11, октября 21, 2025 | ferra.ru
Томские ученые создадут безопасную зарядку для шахтных электромобилей

Томские ученые создадут безопасную зарядку для шахтных электромобилей В пресс-службе Томского государственного университета систем управления и радиоэлектроники (ТУСУР) сообщили, что ученые вуза работают над созданием в …

05:11, октября 21, 2025 | ferra.ru
Россия и Талибан* создадут постоянную российско-афганскую комиссию

Россия и «Талибан»* создадут постоянную российско-афганскую комиссию На полях форума «Россия — Исламский мир» в Казани состоится специальная встреча для официального запуска постоянной совместной комиссии между Россией …

20:11, апреля 23, 2025 | eadaily.com
Сбер и Лаборатория Касперского создадут мультиагентные системы на базе ИИ

Сбер и «Лаборатория Касперского» создадут мультиагентные системы на базе ИИ Чтобы защитить граждан, бизнес и государство от киберугроз, в России создадут мультиагентные системы на базе искусственного интеллекта (AI) и передов …

00:11, марта 12, 2025 | ict-online.ru
Samsung и Nvidia создадут гигантскую AI-фабрику в Южной Корее с 50 000 GPU

Samsung и Nvidia создадут гигантскую AI-фабрику в Южной Корее с 50 000 GPU Samsung Electronics объявила о масштабном партнёрстве с Nvidia, которое станет одним из крупнейших в истории обеих компаний. После встречи председате …

20:11, октября 31, 2025 | itzine.ru
В Ленобласти создадут военизированное подразделение для защиты от нападений с воздуха

В Ленобласти создадут военизированное подразделение для защиты от нападений с воздуха Минобороны РФ поддержало создание в Ленинградской области военизированного подразделения «БАРС-47». Его главными задачами станут защита и контроль не …

00:11, октября 24, 2025 | kommersant.ru
В Томске создадут полигон для моделирования кибератак на промышленные системы

В Томске создадут полигон для моделирования кибератак на промышленные системы В пресс-службе Томского государственного университета систем управления и радиоэлектроники (ТУСУР) сообщили, что специалисты вуза разрабатывают полиг …

00:11, ноября 18, 2025 | ferra.ru
Новосибирские ученые создадут цифрового двойника мозга для нейрохирургии

Новосибирские ученые создадут цифрового двойника мозга для нейрохирургии В пресс-службе Новосибирского государственного технического университета (НГТУ) сообщили, что ученые вуза совместно с коллегами из Федерального центр …

00:11, ноября 18, 2025 | ferra.ru
В Подмосковье создадут 200 рабочих мест на предприятии по производству авиадеталей

В Подмосковье создадут 200 рабочих мест на предприятии по производству авиадеталей Компания «БиДжет» расширит производство компонентов для самолетов и вертолетов в городском округе Истра. Там построят новый производственно-складской …

05:11, марта 14, 2025 | versia.ru
В ЛНР создадут природный заказник для защиты степей и редких животных

В ЛНР создадут природный заказник для защиты степей и редких животных В Луганской Народной Республике появится новый природный заказник федерального значения — «Юницкий». Его цель — сохранить уникальный ландшафт Деркуль …

05:11, августа 11, 2025 | ferra.ru
В Белгородской области создадут сводный отряд для помощи медикам

В Белгородской области создадут сводный отряд для помощи медикам Сводный отряд для помощи медикам, в том числе с участием бойцов Российского студенческого отряда (РСО), создадут из-за нехватки кадров в Белгородской …

20:11, июля 6, 2024 | gazeta.ru
В Белгородской области создадут добровольческий отряд для борьбы с дронами и ДРГ

В Белгородской области создадут добровольческий отряд для борьбы с дронами и ДРГ Минобороны совместно с руководством Белгородской области приступили к формированию добровольческого отряда, который будет обеспечивать оборону регион …

15:11, сентября 5, 2024 | kommersant.ru
Российские ученые создадут новые препараты для борьбы с туберкулезом

Российские ученые создадут новые препараты для борьбы с туберкулезом Министр здравоохранения РФ Михаил Мурашко на заседании комитета Госдумы по охране здоровья сообщил, что российские ученые активно работают над создан …

20:11, октября 3, 2024 | ferra.ru
Страны глобального Юга создадут платформу для решения украинского кризиса

Страны глобального Юга создадут платформу для решения украинского кризиса Китай, Бразилия, а также другие государства глобального Юга создадут платформу "Друзья мира" в целях урегулирования украинского конфликта. Об этом на …

10:11, сентября 27, 2024 | gazeta.ru
Cerabyte и Western Digital создадут долговечный керамический накопитель

Cerabyte и Western Digital создадут долговечный керамический накопитель Немецкая компания Cerabyte, известная своей передовой технологией хранения данных на керамических носителях, получила стратегические инвестиции от We …

00:11, мая 17, 2025 | ilenta.com
В Чехии создадут центры по возвращению украинских беженцев на родину

В Чехии создадут центры по возвращению украинских беженцев на родину Министр внутренних дел Чехии Вит Ракушан и вице-премьер правительства Украины Алексей Чернышов подписали соглашение о создании центров возвращения ук …

10:11, мая 6, 2025 | eadaily.com
В Белгороде создадут пункты обогрева на случай отключения отопления

В Белгороде создадут пункты обогрева на случай отключения отопления Оперативная обстановка в Белгородской области остается сложной, заявил губернатор области Вячеслав Гладков. В Белгороде в нескольких местах развернут …

20:11, января 16, 2026 | kommersant.ru
Газпром нефть и ТИУ создадут центр подготовки инженеров для отрасли

«Газпром нефть» и ТИУ создадут центр подготовки инженеров для отрасли Тюменский индустриальный университет (ТИУ) и компания «Газпром нефть» подписали соглашение о создании совместного научно-образовательного центра (НОЦ …

00:11, сентября 16, 2025 | ferra.ru
В каждом населенном пункте Молдавии создадут антитеррористические советы

В каждом населенном пункте Молдавии создадут антитеррористические советы В Молдавии будут работать территориальные антитеррористические советы, которые во время террористических угроз будут действовать до прибытия сил Анти …

00:11, июня 26, 2024 | eadaily.com
Российские госкомпании создадут ассоциацию для отстаивания своих интересов

Российские госкомпании создадут ассоциацию для отстаивания своих интересов Несколько российских компаний с госучастием договорились о создании ассоциации «Госимущество», которая будет заниматься продвижением и защитой их инт …

00:11, июня 27, 2024 | forbes.ru
РФПИ и вьетнамская T&T Group создадут платформу для поддержки бизнеса

РФПИ и вьетнамская T&T Group создадут платформу для поддержки бизнеса Российский фонд прямых инвестиций (РФПИ) заключил стратегическое партнерство с вьетнамской многопрофильной компанией T&T Group. Они договорились о по …

20:11, июня 20, 2024 | kommersant.ru
Сбор зерна в РФ в 2027 г. может составить 148 млн т - ...

Сбор зерна в РФ в 2027 г. может составить 148 млн т - ... В 2023 году урожай зерна в России составил 144,9 млн тонн. Согласно прогнозу, в 2024 году ожидается сокращение сбора сахарной свеклы на 14,4% по срав …

00:11, октября 2, 2024 | profinance.ru
Ученые РАН создадут экспресс-тест для диагностики болезни купальщиков в воде

Ученые РАН создадут экспресс-тест для диагностики «болезни купальщиков» в воде Ученые из ФИЦ «Институт биологии южных морей» РАН разрабатывают метод экспресс-тестирования воды на наличие паразитов рода Schistosoma, вызывающих оп …

05:11, сентября 3, 2024 | ferra.ru
В Швеции создадут цифровую копию Элвиса Пресли для живых выступлений

В Швеции создадут цифровую копию Элвиса Пресли для «живых» выступлений Компания Pophouse Entertainment Group, соучредителем которой является Бьорн Ульвеус из шведской группы ABBA, ведет переговоры с обладателями прав на …

16:16, июня 11, 2024 | eadaily.com
Уральские учёные создадут самый большой в мире вентилятор для шахт

Уральские учёные создадут самый большой в мире вентилятор для шахт В России разработают мощный вентилятор для движения воздуха в сверхглубоких шахтах Учёные из Уральского государственного горного университета (УГГУ), …

20:11, августа 25, 2024 | ferra.ru
В Госдуме создадут комиссию по закону о статусе ветеранов СВО в новых регионах

В Госдуме создадут комиссию по закону о статусе ветеранов СВО в новых регионах В Госдуму внесен проект постановления о создании согласительной комиссии по закону о распространении статуса ветерана боевых действий на участников С …

15:11, января 14, 2025 | kommersant.ru
Российские ученые создадут более шести систем на квантовых сенсорах

Российские ученые создадут более шести систем на квантовых сенсорах Российские научные центры планируют к 2031 году разработать более шести систем для различных отраслей на базе квантовых сенсоров. Эти технологии могу …

05:11, декабря 19, 2025 | ferra.ru
Рынок лития будет перенасыщен до 2027 года

Рынок лития будет перенасыщен до 2027 года Добывающие компании стремятся ограничить убытки и уменьшить избыток предложения на рынке, однако избыток лития никуда не делся, и, по мнению аналитик …

15:11, декабря 13, 2024 | profinance.ru
Выпуск складного iPhone могут перенести на 2027 год

Выпуск складного iPhone могут перенести на 2027 год По словам аналитика Мин-Чи Куо, долгожданный складной iPhone от Apple может столкнуться с дефицитом поставок вплоть до 2027 года, несмотря на заплани …

10:11, декабря 19, 2025 | ilenta.com
UMC и Intel Foundry: массовый выпуск с 2027 года

UMC и Intel Foundry: массовый выпуск с 2027 года Хотя в новостях об индустрии полупроводников акцент часто делают на передовые техпроцессы, основная масса микросхем сегодня производится по более кру …

20:11, мая 2, 2025 | hardwareluxx.ru
Владельцы затонувших в Черном море танкеров создадут фонды компенсации ущерба

Владельцы затонувших в Черном море танкеров создадут фонды компенсации ущерба Компаний ЗАО «Волгатранснефть» и ООО «Каматрансойл» выступили с инициативой создать два фонда для компенсации ущерба экологии, нанесенного в результа …

20:11, марта 10, 2025 | kommersant.ru
Министр Чуйченко: толковый словарь ценностей создадут к осени 2025 года

Министр Чуйченко: толковый словарь ценностей создадут к осени 2025 года В Министерстве юстиции задумались о создании толкового словаря, который будет пояснять термины из сферы традиционных ценностей. Заниматься им будет к …

05:11, марта 20, 2025 | secretmag.ru
Верное разрешение: на Госуслугах создадут реестр согласий на обработку личных данных

Верное разрешение: на «Госуслугах» создадут реестр согласий на обработку личных данных На «Госуслугах» появится реестр согласий на обработку персональных данных. Он позволит россиянам управлять информацией о себе: видеть, кому они дали …

15:11, августа 27, 2025 | ict-online.ru
Туристов привлечет Спаситель мира: в Саудовской Аравии создадут свой Лувр

Туристов привлечет «Спаситель мира»: в Саудовской Аравии создадут свой Лувр Наследный принц Саудовской Аравии Мухаммед бен Сальман Аль Сауд планирует создать в Эр-Рияде художественную галерею, подобную Лувру. Об этом сообщил …

15:11, августа 20, 2024 | eadaily.com
Российские ученые создадут умный гель против кариеса и воспалений десен

Российские ученые создадут «умный» гель против кариеса и воспалений десен В пресс-службе Тверского государственного университета (ТвГУ) сообщили, что ученые вуза при поддержке Фонда содействия инновациям начинают разработку …

20:11, ноября 3, 2025 | ferra.ru
Специальную рабочую группу по борьбе с мошенническими действиями с недвижимостью создадут в Москве

Специальную рабочую группу по борьбе с мошенническими действиями с недвижимостью создадут в Москве Такое решение было принято в ходе состоявшейся в Следственном департаменте МВД России рабочей встречи с представителями управления Росреестра по Моск …

20:11, декабря 24, 2024 | versia.ru
Калифорния и Google создадут фонд поддержки медиа на фоне спада отрасли

Калифорния и Google создадут фонд поддержки медиа на фоне спада отрасли Власти Калифорнии совместно с Google запускают фонд для поддержки новостных медиа. Проект под названием California Civic Media Fund направлен на стаб …

05:11, мая 23, 2025 | ferra.ru
Wildberries, Ozon и Честный знак создадут систему по выявлению нарушений с маркировкой

Wildberries, Ozon и «Честный знак» создадут систему по выявлению нарушений с маркировкой Оператор системы маркировки «Честный знак», а также крупнейшие маркетплейсы Ozon (MOEX: OZON) и Wildberries (РВБ) договорились о сотрудничестве для у …

10:11, января 19, 2026 | kommersant.ru
Fitch повысило прогноз по ценам на золото до 2027 года

Fitch повысило прогноз по ценам на золото до 2027 года Агентство Fitch повысило свои прогнозы по ценам на золото до 2027 года, сославшись на усиление геополитических рисков. Кроме того, эксперты улучшили …

20:11, сентября 12, 2024 | finam.ru
Нефть может резко подешеветь в 20272028 годах

Нефть может резко подешеветь в 2027–2028 годах Рост предложения из-за увеличения добычи ОПЕК+ при сохранении пошлин США может привести к идеальному шторму на рынке …

15:11, апреля 28, 2025 | vedomosti.ru
Крупный бизнес перейдёт на российские облака с 2027 года

Крупный бизнес перейдёт на российские «облака» с 2027 года Министерство цифрового развития России предложило запретить крупным компаниям использование зарубежных облачных сервисов и программного обеспечения ( …

00:11, августа 10, 2025 | ict-online.ru
Госдума рассмотрит проект бюджета на 2025-2027 годы

Госдума рассмотрит проект бюджета на 2025-2027 годы В числе главных расходов на ближайшие три года – адресная поддержка семей с детьми и беременных женщин. …

10:11, октября 1, 2024 | garant.ru
Дорожная карта мобильных процессоров: AMD останется с Zen 5 до 2027 года

Дорожная карта мобильных процессоров: AMD останется с Zen 5 до 2027 года Пользователь X X-Nutzer @momomo_us из неизвестного источника опубликовал две дорожные карты мобильных процессоров AMD и Intel. Со стороны Intel новос …

20:11, августа 25, 2025 | hardwareluxx.ru
Бюджетная модель Apple Vision Pro отложена до 2027 года

Бюджетная модель Apple Vision Pro отложена до 2027 года С гарнитурой Vision Pro, цена которой составляет $3 500, Apple не удалось достичь коммерческого успеха. Ожидается, что в следующем году компания выпу …

00:11, ноября 5, 2024 | itzine.ru
Складной iPhone представят только весной 2027 года

Складной iPhone представят только весной 2027 года Тренд на складные смартфоны уже несколько лет развивается без участия Apple, и тем, кто ждет долгожданный гибкий iPhone, похоже, придется запастись т …

00:11, октября 20, 2025 | ilenta.com
Графические процессоры AMD RDNA 5 вряд ли выйдут раньше 2027 г.

Графические процессоры AMD RDNA 5 вряд ли выйдут раньше 2027 г. По словам инсайдера отраслевого инсайдера Kepler_L2, новая графическая архитектура AMD RDNA 5 дебютирует как минимум в середине 2027 года. Он отметил …

10:11, декабря 28, 2025 | ferra.ru
MLS перейдет на календарную систему осень-весна с сезона-2027/28

MLS перейдет на календарную систему «осень-весна» с сезона-2027/28 Североамериканская Главная футбольная лига (MLS) объявила о переходе на календарную систему «осень-весна» с лета 2027 года, чтобы соответствовать вед …

20:11, ноября 14, 2025 | forbes.ru
На Украине рассказали о перебоях электричества вплоть до 2027 года

На Украине рассказали о перебоях электричества вплоть до 2027 года Отключения электричества будут происходить на Украине каждую зиму до 2027-2028 года. Об этом сообщил глава Центра исследования энергетики Александр Х …

11:48, июня 11, 2024 | gazeta.ru
Как Apple прокачает камеры iPhone в 2026 и 2027 годах

Как Apple прокачает камеры iPhone в 2026 и 2027 годах Apple готовит настоящую революцию в мобильной фотографии к юбилею iPhone. По данным источников, в iPhone 20, который выйдет в 2027 году, появится про …

00:11, октября 29, 2025 | appleinsider.ru
Развлечения в России подорожали на 25% в 2024 году

Развлечения в России подорожали на 25% в 2024 году Средний чек на развлекательные мероприятия в России в 2024 году составил 3,7 тыс. руб., что на 25% выше показателя прошлого года. Наибольшие траты в …

15:11, декабря 23, 2024 | kommersant.ru
НАК: в России в 2024 году предотвратили 110 терактов

НАК: в России в 2024 году предотвратили 110 терактов С начала года в России задержали более 1050 лиц, причастных к терроризму, сообщил директор ФСБ Александр Бортников на заседании Национального антитер …

15:11, августа 13, 2024 | kommersant.ru
Сбербанк ожидает 15-20 IPO в России в 2025 году

«Сбербанк» ожидает 15-20 IPO в России в 2025 году В 2025 году в России может состояться от 15 до 20 первичных публичных размещений акций, пишет РБК со ссылкой на заявления директора управления электр …

05:11, января 24, 2025 | finam.ru
Как получить гражданство России в 2025 году

Как получить гражданство России в 2025 году Сколько лет потребуется состоять в браке с гражданином РФ для получения РВП? Как изменятся правила предоставления ВНЖ для выпускников российских вузо …

00:11, декабря 14, 2024 | garant.ru
Краснодарский край плюс 1 рубль: для Крыма создадут новую формулу цены бензина

«Краснодарский край плюс 1 рубль»: для Крыма создадут новую формулу цены бензина Цены на бензин и дизтопливо в Крыму стабилизуются и могут даже снизиться. Москва согласилась на формулу, по которой разница с ценами в соседнем Красн …

10:11, декабря 19, 2024 | eadaily.com
Группа Астра, Крафттек и NexTouch создадут инновационный ПАК для безопасной совместной работы с документами

«Группа Астра», «Крафттек» и NexTouch создадут инновационный ПАК для безопасной совместной работы с документами Состоялось подписание трехстороннего договора о сотрудничестве между «Группой Астра», компанией «Крафттек»... …

15:11, марта 11, 2025 | zoom.cnews.ru
За гранью разума Китайцы создадут робота-суррогатную мать: что об этом думают эксперты

За гранью разума? Китайцы создадут робота-суррогатную мать: что об этом думают эксперты На Всемирном робототехническом форуме в Пекине в 2025 году Чжан Цифен, представляющий Kaiwa Technology и Наньянский технологический университет, выдв …

05:11, августа 28, 2025 | pravda.ru
Британия и Франция после прекращения огня создадут военные базы на Украине  Стармер

Британия и Франция после прекращения огня создадут военные базы на Украине — Стармер После прекращения огня Британия и Франция создадут военные базы по всей Украине для обеспечения развертывания сил. Об этом говорится в заявлении Даун …

10:11, января 7, 2026 | eadaily.com